Miocardită
Miocardita, cunoscută și sub numele de cardiomiopatie inflamatorie, este inflamația mușchiului inimii. Simptomele pot include dificultăți de respirație, dureri în piept, scăderea capacității de a face mișcare și bătăi neregulate ale inimii.[1] Durata problemelor poate varia de la ore la luni. Complicațiile pot include insuficiență cardiacă datorată cardiomiopatiei dilatate sau stop cardiac.[1]
| Miocardită | |
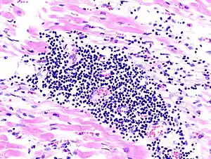
![]() O imagine la microscop a miocarditei la autopsie la o persoană cu debut acut de insuficiență cardiacă | |
| Specialitate | Boli infecțioase, Cardiologie |
|---|---|
| Simptome | Dispnee, Durere toracică, scăderea capacității de a exercita, Aritmie cardiacă[1] |
| Complicații | Insuficiență cardiacă din cauza cardiomiopatie dilatativă, stop cardiac [1] |
| Cauze | De obicei infecție virală, de asemenea infecții bacteriene, anumite medicamente, Boală autoimună[1][2] |
| Metodă de diagnostic | Electrocardiogramă, troponină sanguină, IRM cardiac, biopsie cardiacă[1][2] |
| Tratament | Medicamente, defibrilator cardiac implantabil, transplant de inimă[1][2] |
| Medicație | Inhibitori ACE, Beta-blocant, diuretic, Corticosteroid, Imunoglobulina intravenoasa[1][2] |
| Frecvență | 2.5 milioane cu cardiomiopatie (2015)[3] |
| Decese | 354.000 cu cardiomiopatie (2015)[4] |
| Clasificare și resurse externe | |
| ICD-11 | |
| ICD-9-CM | 429.0[5][6] |
| DiseasesDB | 8716 |
| MedlinePlus | 000149 |
| Patient UK | Miocardită |
| MeSH ID | D009205[6] |
Miocardita se datorează cel mai adesea unei infecții virale.[1] Alte cauze includ infecții bacteriene, anumite medicamente, toxine și boli autoimune.[1][2] Un diagnostic poate fi susținut de o electrocardiogramă (ECG), creșterea troponinei, IMR cardiac și, ocazional, o biopsie cardiacă.[1][2] O ecografie a inimii este importantă pentru a exclude alte cauze potențiale, cum ar fi problemele valvelor cardiace.[2]
Tratamentul depinde atât de severitate, cât și de cauză.[1][2] Sunt adesea utilizate medicamente precum inhibitorii ECA, beta-blocantele și diureticele.[1][2] De obicei, se recomandă o perioadă fără exerciții fizice în timpul recuperării.[1][2] Corticosteroizii sau imunoglobulina intravenoasă (IVIG) pot fi utili în anumite cazuri.[1][2] În cazuri severe, se poate recomanda un defibrilator cardiac implantabil sau un transplant de inimă.[1][2]
În 2013, au apărut aproximativ 1,5 milioane de cazuri de miocardită acută.[7] În timp ce oamenii de toate vârstele sunt afectați, tinerii sunt cel mai adesea afectați.[8] Este mai puțin frecventă la bărbați decât la femei.[1] Cele mai multe cazuri sunt ușoare.[2] În 2015, cardiomiopatia, inclusiv miocardita, a dus la 354.000 de decese, față de 294.000 în 1990.[9][4] Descrierile inițiale ale stării sunt de la mijlocul anilor 1800.[10]
Semnele și simptomele
Semnele și simptomele asociate cu miocardita sunt variate și se referă fie la inflamația reală a miocardului, fie la slăbiciunea mușchiului inimii care este secundară inflamației. Semnele și simptomele miocarditei includ următoarele:[11]
- Durere în piept (descrisă adesea ca „înjunghiere” în caracter)
- Insuficiență cardiacă congestivă (care duce la umflare, dificultăți de respirație și congestie hepatică)
- Palpitații (din cauza ritmului cardiac anormal)
- Tonalitatea zgomotelor inimii
- Moarte subită (la adulții tineri, miocardita cauzează până la 20% din toate cazurile de moarte subită)[12]
- Febră (mai ales când este infecțioasă, de exemplu, în febra reumatică)
- Simptomele la copiii mici tind să fie mai nespecifice, cu stare generalizată de rău, apetit scăzut, dureri abdominale și tuse cronică. Stadiile ulterioare ale bolii vor prezenta simptome respiratorii cu efort respirator crescut și sunt adesea confundate cu astm.
Deoarece miocardita se datorează adesea unei boli virale, mulți pacienți prezintă un istoric de simptome în concordanță cu o infecție virală recentă, inclusiv febră, erupții cutanate, diaree, dureri articulare și oboseală ușor.[13]
Miocardita este adesea asociată cu pericardită, iar multe persoane cu miocardită prezintă semne și simptome care sugerează miocardită și pericardită în același timp.[14][15]
Ce este miocardita
Noțiunea de miocardită include o grupă de afecțiuni ale miocardului cu antrenarea miocitelor, țesutului interstițial, elementelor vasculare și a pericardului, suportul patologic fiind un proces numit inflamație cu evoluție clasică. Toate afecțiunile miocardice sunt denumite cardiomiopatii. Astfel miocardita este numită științific cardiomiopatie inflamatorie. Miocardita inflamatorie reprezintă un proces inflamator de origine infecțioasă, autoimună.
Tipuri de miocardită
- Miocardită acută
- Miocardită bacteriană
- Miocardită parazitară
- Miocardită BSTC
- Miocardită cronică
Tratament
Condiții de viața recomandate: Repausul relativ sau absolut
Dieta:
- hiposodată – sunt permise 2-3 g sare/zi,
- mese cantitativ reduse,
- alcoolul și fumatul sunt interzise.
Tonicardiacele reprezintă medicația de bază: Cedilanid (Lanatosid) fiole i.v.pentru urgențe și pentru tratament de întreținere; Digoxin tablete 0,250 mg 1 tb/zi 5 zile pe săptămână cu 2 zile pauză . Lanatosid tablete 0,250 mg are eficacitate mai redusă prin absorbția slabă; Diuretice: Furantril (40 mg 1 tb., de doua ori pe săptămana) (sau Nefrix 25 mg).; Tratament coronarodilatator: Dipiridamol, Intercordin, Pentalong, Izoket, Nifedipina; Tratament anticoagulant: în insuficiențele cardiace greu reductibile cu risc de tromboză: Heparina și apoi Trombostop ca tratament de întreținere; Vasodilatatoare: Hipopresol, Nitroglicerină, Minoxidil, Pentalong, Captopril
Referințe
- Cooper LT (aprilie 2009). „Myocarditis”. The New England Journal of Medicine. 360 (15): 1526–38. doi:10.1056/nejmra0800028. PMC 5814110
. PMID 19357408. - Kindermann I, Barth C, Mahfoud F, Ukena C, Lenski M, Yilmaz A, et al. (februarie 2012). „Update on myocarditis”. Journal of the American College of Cardiology. 59 (9): 779–92. doi:10.1016/j.jacc.2011.09.074
. PMID 22361396. - Vos, Theo; Allen, Christine; Arora, Megha; Barber, Ryan M.; Bhutta, Zulfiqar A.; Brown, Alexandria; Carter, Austin; Casey, Daniel C.; Charlson, Fiona J.; Chen, Alan Z.; Coggeshall, Megan; Cornaby, Leslie; Dandona, Lalit; Dicker, Daniel J.; Dilegge, Tina; Erskine, Holly E.; Ferrari, Alize J.; Fitzmaurice, Christina; Fleming, Tom; Forouzanfar, Mohammad H.; Fullman, Nancy; Gething, Peter W.; Goldberg, Ellen M.; Graetz, Nicholas; Haagsma, Juanita A.; Hay, Simon I.; Johnson, Catherine O.; Kassebaum, Nicholas J.; Kawashima, Toana; et al. (octombrie 2016). „Global, regional, and national incidence, prevalence, and years lived with disability for 310 diseases and injuries, 1990-2015: a systematic analysis for the Global Burden of Disease Study 2015”. Lancet. 388 (10053): 1545–1602. doi:10.1016/S0140-6736(16)31678-6. PMC 5055577
. PMID 27733282. - GBD 2015 Mortality and Causes of Death, Collaborators (octombrie 2016). „Global, regional, and national life expectancy, all-cause mortality, and cause-specific mortality for 249 causes of death, 1980-2015: a systematic analysis for the Global Burden of Disease Study 2015”. Lancet. 388 (10053): 1459–1544. doi:10.1016/S0140-6736(16)31012-1. PMC 5388903
. PMID 27733281. - Disease Ontology, accesat în
- Monarch Disease Ontology release 2018-06-29[*] Verificați valoarea
|titlelink=(ajutor); - Vos, Theo; Barber, Ryan M.; Bell, Brad; Bertozzi-Villa, Amelia; Biryukov, Stan; Bolliger, Ian; Charlson, Fiona; Davis, Adrian; Degenhardt, Louisa; Dicker, Daniel; Duan, Leilei; Erskine, Holly; Feigin, Valery L.; Ferrari, Alize J.; Fitzmaurice, Christina; Fleming, Thomas; Graetz, Nicholas; Guinovart, Caterina; Haagsma, Juanita; Hansen, Gillian M.; Hanson, Sarah Wulf; Heuton, Kyle R.; Higashi, Hideki; Kassebaum, Nicholas; Kyu, Hmwe; Laurie, Evan; Liang, Xiofeng; Lofgren, Katherine; Lozano, Rafael; et al. (august 2015). „Global, regional, and national incidence, prevalence, and years lived with disability for 301 acute and chronic diseases and injuries in 188 countries, 1990-2013: a systematic analysis for the Global Burden of Disease Study 2013”. Lancet. 386 (9995): 743–800. doi:10.1016/s0140-6736(15)60692-4. PMC 4561509
. PMID 26063472. - Willis, Monte; Homeister, Jonathon W.; Stone, James R. (). Cellular and Molecular Pathobiology of Cardiovascular Disease. Academic Press. p. 135. ISBN 9780124055254. Arhivat din original la .
- GBD 2013 Mortality Causes of Death Collaborators (ianuarie 2015). „Global, regional, and national age-sex specific all-cause and cause-specific mortality for 240 causes of death, 1990-2013: a systematic analysis for the Global Burden of Disease Study 2013”. Lancet. 385 (9963): 117–71. doi:10.1016/S0140-6736(14)61682-2. PMC 4340604
. PMID 25530442. - Cunha, Burke A. (). Infectious Diseases in Critical Care Medicine. CRC Press. p. 263. ISBN 9781420019605. Arhivat din original la .
- Feldman AM, McNamara D (noiembrie 2000). „Myocarditis”. The New England Journal of Medicine. 343 (19): 1388–98. doi:10.1056/NEJM200011093431908. PMID 11070105.
- Eckart RE, Scoville SL, Campbell CL, Shry EA, Stajduhar KC, Potter RN, et al. (decembrie 2004). „Sudden death in young adults: a 25-year review of autopsies in military recruits”. Annals of Internal Medicine. 141 (11): 829–34. doi:10.7326/0003-4819-141-11-200412070-00005
. PMID 15583223. - „Myocarditis”. The Lecturio Medical Concept Library. Accesat în .
- „Pericarditis”. The Lecturio Medical Concept Library. . Accesat în .
- „Myocarditis”. The Lecturio Medical Concept Library. Accesat în .
Legături externe
| Clasificare | |
|---|---|
| Resurse externe |
.JPG.webp)