Megacariocit
Megacariocitul reprezintă o celulă gigant a măduvei osoase. Aceste celule produc prin fragmentare trombocitele, celule esențiale pentru coagularea sângelui. Un megacariocit poate da naștere până la 6000 de trombocite. Megacariocitele reprezintă 1 din 10.000 de celule ale măduvei osoase, dar numărul lor poate crește de aproape 10 ori în cursul anumitor boli.
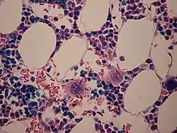
| Megacariocit | |
|---|---|
![]() | |
| Două megacariocite în măduva osoasă, înspre centru | |
| Latină | megakaryocytus |

Structura
În general, megacariocitele sunt de la 10 până la 15 ori mai mari decât eritrocitele, atingând un diametru de 50-100μm. Acestea au un nucleu multilobat, care poate da falsa impresie că există mai mulți nuclei. Citoplasma, la fel ca plachetele sangvine (trombocitele), conține granule α și corpi denși.
Dezvoltarea

Megacariocitelor derivă din celulele hematopoietice. Acestea sunt în principal produse de ficat, rinichi, splină și măduva osoasă. Aceste celule stem multipotente se găsesc în maduva sinusoidă și sunt capabile să producă toate tipurile de celule sanguine, în funcție de semnalele pe care le primesc. Semnalul principal pentru producția de megacariocite este TPO. Megacariocitele urmează următorul traseu în dezvoltarea lor: celule stem hematopoietice -> megacarioblaste -> promegacariocit-> megacariocite. Celula ajunge în cele din urmă la stadiul de megacariocit, pierzându-și capacitatea de a se diviza. Cu toate acestea, este încă în măsură să-și reproducă ADN-ul și să continue dezvoltarea, devenind poliploidă. Citoplasma continuă să se extindă, iar completarea ADN-ul poate crește până la 64N.
Trombopoientina
Trombopoietina (TPO) este o proteină. TPO este în primul rând sintetizată în ficat, dar și în rinichi, testicule, creier și celulele stromale din măduva osoasă. Ea are omologie înaltă cu eritropoietină. Este esențială pentru formarea unei cantități adecvate de trombocite. S-a constatat că șoarecii lipsiți de TPO sau receptorul TPO (MPL) au o reducere de 90% a numărului de trombocite.
Tulburări legate de megacariocite
Megacariocitele sunt implicate direct în formarea trombocitelor, care sunt responsabile pentru coagularea sângelui. Există câteva boli care sunt atribuite funcționării incorecte a megacariocitelor, respectiv plachetelor sangvine.
Trombocitomie esențială
Se bazează pe evidențierea unei creșteri considerabile a numărului de plachete (de la 500.000 până la mai multe milioane pe milimetru cub, pe când cifra normală se situează între 150.000 și 450.000), constatată în absența oricărei tulburări (inflamație, hemoragie, lipsă de fier, insuficiență funcțională a splinei) care să poată explica acest fenomen.
