Malformația Arnold-Chiari
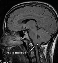
Malformația Arnold-Chiari, sau uneori spus și malformația Chiari este o malformație a creierului. Acestă malformație constă din deplasarea în jos (practic hernierea) a amigdalelor cerebeloase prin foramen magnum (orificiul de la baza craniului), provocând uneori hidrocefalie ca urmare a obstrucției circulației lichidului cefalorahidian (LCR). Malformația Arnold-Chiari poate provoca dureri de cap, oboseală, slăbiciune musculară în cap si față, dificultate la înghițire, amețeli, greață, tulburări de coordonare, în cazuri severe paralizie.[1]

Clasificare
Patologul austriac la sfârșitul sec. al 19-lea a descris așa-numitele malformații Chiari I, II și III. Mai târziu alți cercetători au adăugat la clasificare malformația Chiari IV. Clasamentul descrie gravitatea afecțiunii, cea mai gravă formă fiind IV, tipurile III și IV sunt foarte rare.
- Tipul I – este cel mai frecvent, de obicei asimptomatic în copilărie, dar poate fi însoțit de dureri de cap și simptome cerebeloase
- Tipul II – este însoțit de mielomeningocel lombar și determină apariția paraliziei parțiale sau totale sub defectul spinal. Față de tipul I această formă se acompaniază de dizlocarea vermisului cerebelos și a trunchiului cerebral (acestea vor hernia și ele prin foramen magnum)
- Tipul III – Provoacă simptome neurologice severe. Este asociat de encefalocel occipital.
- Tipul IV – Caracterizat prin lipsa dezvoltării cerebelului.
Alte anomalii ce pot fi prezente alături de malformația Arnold-Chiari sunt:
- hidrocefalia,
- siringomielia
- curbarea patologică a coloanei vertebrale
- sau tulburări ale țesutului conjunctiv, cum ar fi:
- sindromul Marfan,
- sindromul Ehlers-Danlos.
Simptome
- cefalee (dureri de cap)
- tinitus (țiuitul urechilor)
- vertij (amețeală)
- greață
- nistagmus (mișcări neregulate ale ochilor)
- dureri faciale
- slăbiciune musculară
- disfagie (dificultate de înghițire)
- dilatarea pupilelor
- presiune intracraniană mărită
- tulburări de coordonare
Tratament
Prin operație de decompresie.
Note
- en „Malformația Chiari: Simptome”. Clinica Mayo.