Ischemie mezenterică
Ischemia mezenterică, o afecțiune cunoscută și ca boală vasculară mezenterică , este o afecțiune medicală în care se produce vătămarea intestinului subțire ca rezultat al furnizării unei cantități insuficiente de sânge.[2] Poate interveni brusc, atunci fiind cunoscută sub numele de ischemie mezenterică acută, sau treptat, cunoscută sub numele de ischemie mezenterică cronică.[3] Boala acută se prezintă deseori cu durere severă bruscă.[3] Simptomele pot să se manifeste mai lent la cei cu afecțiuni acute decât în cazul bolii cronice.[2] Simptomele bolilor cronice includ dureri abdominale după masă, pierderea neintenționată în greutate, vărsături și teama de a mânca.[3][2]
| Ischemie mezenterică | |
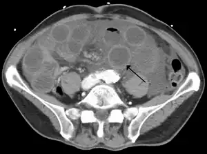
![]() Computer tomography (CT) showing ischemic small bowel due to thrombosis of the superior mesenteric vein. The small bowels are dilated and the bowel wall is thickened. | |
| Specialitate | gastroenterologie |
|---|---|
| Clasificare și resurse externe | |
| ICD-9 | 557.9 |
| ICD-10 | K55.9 |
| ICD-11 | |
| DiseasesDB | 29034 |
| MedlinePlus | 001156 |
| eMedicine | radio/2726 |
| MeSH ID | D065666[1] |
Cauze și diagnostic
Factorii de risc includ fibrilație atrială, insuficiență cardiacă, insuficiență renală cronică, tendința de formare a cheagurilor de sânge și, anterior, infarct miocardic.[2] Există patru mecanisme care conduc la un flux necorespunzător de sânge: cheaguri de sânge din alte părți acumulate într-o arteră, o formarea de noi cheaguri de sânge într-o arteră, formarea unui cheag de sânge în vena mezenterică și circulația deficitară a sângelui, ca rezultat al presiunii scăzute a sângelui sau spasmelor arteriale.[4][5] Boala cronică este un factor de risc pentru boala acută.[6] Metoda optimă de diagnosticare este angiografia; tomografia computerizată (CT) este utilizată atunci când prima metodă nu este disponibilă.[3]
Tratament și prognoză
Tratamentul ischemiei acute poate include aplicarea unui stentsau medicație de distrugere a cheagurilor aplicate la locul blocării prin radiologie intervențională.[3] Intervenția chirurgicală deschisă poate fi de asemenea utilizată pentru a îndepărta sau a ocoli obstrucția și este posibil să fie necesară îndepărtarea oricăror intestine care ar putea fi moarte.[2] Dacă nu se tratează rapid, rezultatele sunt adesea minime.[3] Printre cei afectați, chiar și în cazul administrării unui tratament, riscul de deces este de 70% până la 90%.[4] La cei cu boală cronică, operația de bypass reprezintă tratamentul preferat.[3] La persoanele care prezintă tromboză a venelor, se poate trata cu anticoagulante cum ar fi heparina și warfarina, iar în cazul în care nu se observă îmbunătățiri, prin intervenție chirurgicală.[2][7]
Epidemiologie și istoric
Ischemia mezenterică acută afectează aproximativ cinci sute de mii de oameni pe an în lumea dezvoltată.[8] Ischemia mezenterică cronică afectează aproximativ o sută de mii de oameni.[9] Majoritatea persoanelor afectate au vârsta peste 60 de ani.[4] Ratele sunt aproximativ egale la bărbați și femei de aceeași vârstă.[4] Ischemia mezenterică a fost descrisă pentru prima data în 1895.[3]
Note
- Human Phenotype Ontology release 2018-03-08, accesat în
- Yelon, Jay A. (). Geriatric Trauma and Critical Care (ed. Aufl. 2014). New York: Springer-Verlag. p. 182. ISBN 9781461485018.
- Bobadilla, JL (august 2013). „Mesenteric ischemia”. The Surgical clinics of North America. 93 (4): 925–40, ix. PMID 23885938.
- Britt, L.D. (). Acute care surgery (ed. 1st ed.). Philadelphia: Wolters Kluwer Health/Lippincott Williams & Wilkins. p. 621. ISBN 9781608314287.
- Creager, Mark A. (). Vascular medicine : a companion to Braunwald's heart disease (ed. 2nd ed.). Philadelphia, PA: Elsevier/Saunders. pp. 323–324. ISBN 9781437729306.
- Sreenarasimhaiah, J (aprilie 2005). „Chronic mesenteric ischemia”. Best practice & research. Clinical gastroenterology. 19 (2): 283–95. PMID 15833694.
- Liapis, C.D. (). Vascular surgery. Berlin: Springer. p. 420. ISBN 9783540309567.
- Geoffrey D. Rubin (). CT and MR Angiography: Comprehensive Vascular Assessment. Lippincott Williams & Wilkins. p. 318. ISBN 9781469801834.
- Gustavo S. Oderich (). Mesenteric Vascular Disease: Current Therapy. Springer. p. 105. ISBN 9781493918478.
