Hipocamp
Hipocampul este o componentă majoră a creierului uman și al celui al vertebratelor. Oamenii și celelalte mamifere au doi hipocampi, unul în fiecare jumătate a creierului. Hipocampul face parte din sistemul limbic și joacă un rol important în trecerea informației din memoria de scurtă durată în memoria de lungă durată precum și în navigarea în spațiu. Hipocampul se află sub cortexul cerebral[1][1][1][1][1], în partea medială a lobului temporal. El constă din două părți conexe, hipocampul propriu-zis și girusul dentat.
| Hipocampul | |
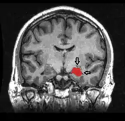
![]() Secțiune coronală făcută cu ajutorul RMN-ului. Hipocampul e colorat roșu | |
| Detalii | |
|---|---|
| Latină | hipocampus |
| Parte din | lob temporal[*] |
| Sistem | sistemul nervos |
| Resurse externe | |
| TA | A14.1.09.321 |
| FMA | 275020 |
| Terminologie anatomică | |
În boala Alzheimer, hipocampul este una din primele regiuni afectate, conducând la simptomele inițiale de pierdere a memoriei și dezorientare. Hipocampul poate fi afectat și în urma lipsei de oxigen (hipoxie), encefalitei sau epilepsiei de lob temporal medial. Indivizii afectați de probleme hipocampale bilaterale suferă uneori de amnezie anterogadă (inabilitatea creării și reculegerii unor amintiri noi).
Datorită organizării neuronilor hipocampali în straturi ordonate, hipocampul este utilizat frecvent drept model pentru studiul neurofiziologiei. Forma plasticității neuronale cunoscută sub numele de potențiere de lungă durată (long-term potentiation) a fost descrisă pentru prima oară în hipocamp. Potențierea de lungă durată este considerată un mecanism major de stocare a memoriilor.
Anatomia

În ceea ce privește anatomia sa, hipocampul face parte din marginea cortexului cerebral[2][6][2]. Structurile acestei margini corticale constituie sistemul limbic (din latină limbus = graniță). Sistemul limbic constă din hipocamp, cortexul cingular, cortexul olfactiv și amigdală. În cadrul teoriei sale despre creier, Paul MacLean a propus că sistemul limbic constituie baza neurală a emoțiilor. Totuși, alți oameni de știință neagă validitatea conceptului de sistem limbic unificat[3]. În ciuda acestor dezbateri, hipocampul este conectat anatomic la părți ale creierului care sunt implicate în comportamentul emoțional - septul, corpul mamilar hipotalamic și complexul nuclear anterior al talamusului - și prin urmare rolul său de structură limbică nu poate fi contrazis fără echivoc.[6]
Funcții

Din punct de vedere istoric, prima ipoteză cu circulație largă despre hipocamp postula rolul său în olfacție. Această teorie a fost pusă sub semnul întrebării după descoperirea că nu există proiecții directe de la bulbul olfactiv înspre hipocamp[4]. Ulterior s-a descoperit că bulbul olfactiv are proiecții în partea ventrală a cortexului entorinal lateral, iar câmpul CA1 în hipocampul ventral trimite axoni înspre bulbul olfactiv principal, nuceul olfactiv anterior și cortexul olfactiv primar. Deși rolul său în memoria mirosului prezintă un interes academic, puțini specialiști cred azi că funcția principală a hipocampului este în miros.
Literatura de specialitate a fost dominată de trei idei principale legate de funcția hipocampului: inhibiția, memoria și spațiul.
Teoria inhibiției ("slam on the brakes") a fost răspândită până în anii '60. Aceasta se bazează pe două observații: 1) animalele care au hipocampul afectat sunt hiperactive și 2) animalele cu hipocampul afectat nu pot inhiba răspunsurile învățate în trecut (în special cele ce vizează tăcerea). Jeffrey Gray a dezvoltat această idee într-o teorie completă despre rolul hipocampului în anxietate[5]. Din cele trei teorii, teoria inhibiției este cea mai puțin creditată în prezent[6].
Teoria memoriei se bazează pe descoperirile lui William Beecher Scoville și Brenda Milner[7][18][7]. Cei doi descriu rezultatul distrugerii chirurgicale ale hipocampului (pentru tratamentul epilepsiei) într-un pacient (pacientul H.M.). Rezultatul (neprevăzut) al intervenției a fost amnezia anterogradă severă și amnezia retrogradă parțială. După intervenție, pacientul, cu numele de Henry Molaison[8], a fost incapabil să formeze memorii episodice, dar capacitatea sa de a reculege amintiri din copilăria îndepărtată nu a fost afectată. În anii următori (după 2008, când identitatea lui Henry Molaison a fost dezvăluită), au fost documentate numeroase cazuri similare. Prin urmare, în momentul de față există un acord universal cu privire la importanța hipocampului în memorie, deși natura exactă a acestui rol este intens dezbătută.
Teoria orientării spațiale poate fi trasată înapoi la O'Keefe și Nadel, care au fost influențați de teoriile lui E.C. Tolman despre "hărți cognitive" în oameni și animale. O'Keefe, împreună cu studentul său, Dostrovsky, au decoperit în 1971 în hipocampul șobolanilor neuroni care demonstrau activitate legată de locația șobolanului în mediul său[9]. Cercetarea lui O'Keefe și Lynn Nadel a fost publicată în 1978 sub forma unei cărți influente "The Hippocampus as a Cognitive Map"[10]. Acordul actual este că hipocampul are un rol important în codarea spațială, dar detaliile acestei relații sunt dezbătute.
Patologii
Vârsta înaintată
Bolile legate de înaintarea în vârstă (e.g. boala Alzheimer) au un efect dramatic asupra cogniției, dar și îmbătrânirea "normală" se asociază cu declinul gradual al anumitor forme de memorie, inclusiv memoria episodică și memoria de lucru (sau memoria de scurtă durată). Deoarece se crede că hipocampul are un rol central în memorie, posibilitatea ca declinul în memorie să fie legată de deterioarea hipocampului prezintă un subiect de mare interes[11]. Unele studii au găsit o pierdere de neuroni semnificativă în bătrânețe, dar studii recente cu tehnici de precizie mai mare au găsit diferențe minime[11]. În mod asemănător, unele studii RMN au arătat că hipocampul se micșorează în bătrânețe, dar alte studii nu au reușit să reproducă aceste rezultate. Relația dintre mărimea hipocampului și performanța memoriei este stabilită, indiferent de vârstă - asta înseamă că nu toți vârstnicii au micșorare hipocampală, acest fenomen limitându-se la cei care au perfomanță redusă în anumite exerciții de memorie[12]. O altă indicație a relației dintre hipocamp și memorie este descoperirea că exercițiile de memorie cauzează o activare mai semnificativă a hipocampului în tineri decât în vârstnici[12]. Un studiu randomizat-controlat din 2011 a descoperit că exercițiul aerob duce la creșterea hipocampului și îmbunătățirea memoriei spațiale în adulții cu vârstele cuprinse între 55 și 80 de ani[13].
Stresul
Hipocampul conține un număr mare de receptori de glucocorticoizi, predispunând la o vulnerabilitate crescută la stresul de lungă durată față de majoritatea celorlalte părți ale creierului[14]. Hormonii steroizi legați de stres afectează hipocampul în cel puțin 3 moduri: 1) reducând excitabilitatea unor neuroni hipocampali, 2) inhibând geneza unor neuroni noi în girusul dentat și 3) cauzând atrofia dendritelor din celulele piramidale din regiunea CA3. Există dovezi cum că oamenii supuși unui stres sever și de lungă durată dezvoltă atrofie mai semnificativă în hipocamp decât în alte zone ale creierului[15]. Aceste efecte apar în sindromul de stres posttraumatic, și s-ar putea să contribuie la atrofia hipocampală documentată în schizofrenie[16][76][16] și depresia severă[17][77][17]. Un studiu recent a demonstrat că depresia este o cauză a atrofiei hipocampale. Această atrofie este reversibilă prin medicație antidepresivă, chiar și când aceasta nu îmbunătățește celealalte simptome[18]. Atrofia hipocampală apare frecvent în sindromul Cushing, o boală cauzată de niveluri ridicate de cortizol în sânge. Unele din aceste efecte sunt reversibile dacă stresul este întrerupt. În ciuda acestui fapt, unele studii pe șobolani arată că expunerea la stres imediat după naștere afecteză funcționarea hipocampului într-un mod care persistă de-alungul vieții[19].
S-a demonstrat că și reacțiile la stres specifice sexului au un efect asupra hipocampului. În situații în care șobolani adulți, atât masculi cât și femele, au fost expuși la stres cronic, femelele au demonstrat o capacitate mai bună de a face față[20].
Epilepsia
Hipocampul este implicat și în crizele de epilepsie: în epilepsia de lob temporal, cea mai des întâlnită anomalie la nivel de țesut este scleroza hipocampală[21]. Este încă neclar dacă epilepsia este cauzată de abnormalități hipocampale sau dacă crizele epileptice cumulate sunt cauza unor abnormalități în hipocamp[22]. Într-un context experimental în care crize repetitive au fost induse artificial în animale, un rezultat frecvent a fost deteriorarea hipocampală. Acest lucru ar putea fi asociat cu faptul că hipocampul este una din zonele cele mai excitabile electric ale creierului. Pe lângă asta ar putea avea de a face cu faptul că hipocampul este una din puținele regiuni ale creierului unde se creează neuroni noi de-alungul vieții[23].
Schizofrenia
Cauzele exacte ale schizofreniei rămân neelucidate, dar s-au descris numeroase abnormalități ale structurii creierului în această boală. Cele mai studiate schimbări au loc în cortexul cerebral, dar au fost descrise și efecte asupra hipocampului. Numeroase rapoarte au descoperit o micșorare a hipocampului în indivizii schizofrenici[24]. Aceste schimbări sunt mai probabil rezultatul unor abnormalități în dezvoltarea hipocampului, și nu rezultatul unor daune la nivel de țesut, iar ele apar și în indivizii care nu au beneficiat niciodată de tratament medicamentos. Mai multe studii arată înspre schimbări în organizarea sinaptică și conectivitate[24]. În momentul de față este încă neclar dacă alterările hipocampale au vreun rol în cauzarea simptomelor psihotice care sunt cele mai proeminente trăsături ale schizofreniei. Anthony Grace et al. au sugerat, pe baza unor experimente cu animale, că disfuncția hipocampală ar putea produce o alterare a secreției de dopamină în ganglionii bazali, ca urmare afectând în mod indirect integrarea informației în cortexul prefrontal[25][85][25]. Alții au sugerat că disfuncția hipocampală s-ar putea să explice problemele în memoria de lungă durată care se observă frecvent în indivizii schizofrenici[26].
Amnezia globală tranzitorie
O ipoteză curentă despre cauzele amneziei globale tranzitorii implică ischemia unor structuri cerebrale precum hipocampul[27][28].
Referințe
- Wright, Anthony. Chapter 5: Limbic System: Hippocampus. Department of Neurobiology and Anatomy Arhivat în , la Wayback Machine., The UT Medical School at Houston
- Amaral D, Lavenex P (2006). "Ch 3. Hippocampal Neuroanatomy". In Andersen P, Morris R, Amaral D, Bliss T, O'Keefe J. The Hippocampus Book. Oxford University Press. ISBN 978-0-19-510027-3
- Kötter & Stephan, 1997
- Finger, p. 183
- Gray and McNaughton, 2000
- Best & White, 1999
- Scoville WB, Milner B (Feb 1957). "Loss of recent memory after bilateral hippocampal lesions". Journal of Neurology, Neurosurgery, and Psychiatry 20 (1): 11–21. doi:10.1136/jnnp.20.1.11. PMC 497229. PMID 13406589
- New York Times, 12-06-2008
- O'Keefe and Dostrovsky, 1971
- O'Keefe and Nadel, 1978
- Prull et al., 2000, p. 105
- Prull et al., 2000, p. 107
- Erickson et al., 2011
- Joels, 2008
- Fu et al, 2010
- Wright IC, Rabe-Hesketh S, Woodruff PW, David AS, Murray RM, Bullmore ET (Jan 2000). "Meta-analysis of regional brain volumes in schizophrenia". The American Journal of Psychiatry 157 (1): 16–25. doi:10.1176/ajp.157.1.16. PMID 10618008
- Kempton MJ, Salvador Z, Munafò MR, Geddes JR, Simmons A, Frangou S, Williams SC (Jul 2011). "Structural neuroimaging studies in major depressive disorder. Meta-analysis and comparison with bipolar disorder". Archives of General Psychiatry 68 (7): 675–90. doi:10.1001/archgenpsychiatry.2011.60. PMID 21727252
- Campbell & MacQueen, 2004
- Garcia-Segura, pp. 170–71
- Conrad CD (). „Chronic stress-induced hippocampal vulnerability: the glucocorticoid vulnerability hypothesis”. Reviews in the Neurosciences. 19 (6): 395–411. doi:10.1515/revneuro.2008.19.6.395. PMC 2746750
. PMID 19317179. - Chang and Lowenstein, 2003
- Sloviter, 2005
- Kuruba et al., 2009
- Harrison, 2004
- Goto Y, Grace AA (Nov 2008). "Limbic and cortical information processing in the nucleus accumbens". Trends in Neurosciences31 (11): 552–8. doi:10.1016/j.tins.2008.08.002. PMC 2884964. PMID 18786735
- Boyer et al., 2007
- Lewis SL (). „Aetiology of transient global amnesia”. Lancet. 352 (9125): 397–9. doi:10.1016/S0140-6736(98)01442-1. PMID 9717945.
- Chung CP, Hsu HY, Chao AC, Chang FC, Sheng WY, Hu HH (). „Detection of intracranial venous reflux in patients of transient global amnesia”. Neurology. 66 (12): 1873–77. doi:10.1212/01.wnl.0000219620.69618.9d. PMID 16801653.
