Encefalită
Encefalita este inflamația creierului.[5] Severitatea poate fi variabilă, cu simptome incluzând reducerea sau alternarea conștiinței, dureri de cap, febră, confuzie, gât rigid și vărsături.[1][6] Complicațiile pot include convulsii, halucinații, probleme de vorbire, probleme de memorie și probleme de auz.[1][7]
| Encefalită | |
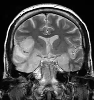
![]() Imaginea scanată IRM arată un semnal ridicat în lobii temporali și girusul frontal inferior drept la cineva cu encefalită HSV. | |
| Specialitate | Neurologie, Boli infecțioase |
|---|---|
| Complicații | Criză epileptică, probleme de vorbire, probleme de memorie, probleme cu auzul[1] |
| Cauze | infecție autoimmunity[*] |
| Tratament | Antiviral, antiepileptic, corticosteroizi, respirație artificială[1] |
| Frecvență | 4.3 million (2015)[2] |
| Decese | 150,000 (2015)[3] |
| Clasificare și resurse externe | |
| ICD-9 | 323 |
| ICD-10 | A83 A86 B94.1 G05 |
| ICD-11 | |
| ICD-9-CM | 323.0[4] 323.9[4] 323.8[4] |
| DiseasesDB | 22543 |
| MedlinePlus | 001415 |
| MeSH ID | D004660[4] |
Cauzele encefalitei includ virusuri precum virusul herpes simplex și rabie, precum și bacterii, ciuperci sau paraziți.[1][8] Alte cauze includ bolile autoimune și anumite medicamente.[8] În multe cazuri, cauza rămâne necunoscută.[8] Factorii de risc includ un sistem imunitar slab.[8] Diagnosticul se bazează de obicei pe simptome și este susținut de analize de sânge, imagistică medicală și analiza lichidului cefalorahidian.[8]
Anumite tipuri pot fi prevenite cu vaccinuri.[5] Tratamentul poate include medicamente antivirale (cum ar fi aciclovir), antiepileptic și corticosteroizi.[1] Tratamentul are loc în general în spital.[1] Unii oameni necesită respirație artificială.[1] Odată ce problema imediată este controlată, poate fi necesară reabilitarea.[8] În 2015, se estimează că encefalita a afectat 4,3 milioane de persoane și a dus la 150.000 de decese în întreaga lume.[2][3]
Referințe
- GBD 2015 Disease and Injury Incidence and Prevalence Collaborators (). „Global, regional, and national incidence, prevalence, and years lived with disability for 310 diseases and injuries, 1990–2015: a systematic analysis for the Global Burden of Disease Study 2015”. Lancet. 388 (10053): 1545–1602. doi:10.1016/S0140-6736(16)31678-6. PMC 5055577
. PMID 27733282. - GBD 2015 Mortality and Causes of Death Collaborators (). „Global, regional, and national life expectancy, all-cause mortality, and cause-specific mortality for 249 causes of death, 1980–2015: a systematic analysis for the Global Burden of Disease Study 2015”. Lancet. 388 (10053): 1459–1544. doi:10.1016/S0140-6736(16)31012-1. PMC 5388903
. PMID 27733281. - Monarch Disease Ontology release 2018-06-29[*] Verificați valoarea
|titlelink=(ajutor); - „Encephalitis”. NHS Choices (în engleză). . Arhivat din original la . Accesat în .
- Venkatesan, Arun (). „Diagnosis and management of acute encephalitis A practical approach”. Neurology: Clinical Practice. 18 (2): 206–215. doi:10.7861/clinmedicine.18-2-155. PMC 6303463
. PMID 29626021. - Venkatesan, Arun (). „Diagnosis and management of acute encephalitis A practical approach”. Neurology: Clinical Practice. 18 (2): 206–215. doi:10.7861/clinmedicine.18-2-155. PMC 6303463
. PMID 29626021.
Legături externe
| Clasificare | |
|---|---|
| Resurse externe |
