Embolism pulmonar
Embolismul pulmonar (EP) este un tip de embolism, o blocare a arterelor pulmonare, cauzată de migrarea la acest nivel a unei mase dintr-o altă zonă a corpului.[2] Simptomele includ: dispnee, durere toracică și tuse cu sânge.[3] Pot să apară și simptomele unei tromboze venoase profunde la nivelul membrelor inferioare, precum: eritem, căldură, edem și durere.[3] Boala poate să fie acompaniată de valori scăzute ale oxigenului, tahipnee (respirație rapidă), tahicardie (bătăi rapide ale cordului) și uneori de febră/subfebrilitate.[4] Cazurile severe pot duce la sincopă, șoc hipotensiv și moarte subită.[5]
| Tromboembolism pulmonar | |
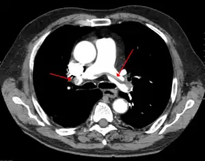
![]() | |
| Specialitate | cardiologie hematologie pneumologie |
|---|---|
| Simptome | Hampton hump[*] Westermark sign[*] |
| Clasificare și resurse externe | |
| ICD-9 | 415.1 |
| ICD-11 | |
| ICD-9-CM | 415.19[1] |
| DiseasesDB | 10956 |
| MedlinePlus | 000132 |
| Patient UK | Embolism pulmonar |
| MeSH ID | D011655[1] |
Note
- Monarch Disease Ontology release 2018-06-29[*] Verificați valoarea
|titlelink=(ajutor); - „What Is Pulmonary Embolism?”. NHLBI. . Arhivat din original la . Accesat în .
- „What Are the Signs and Symptoms of Pulmonary Embolism?”. NHLBI. . Arhivat din original la . Accesat în .
- Tintinalli JE (). Emergency Medicine: A Comprehensive Study Guide (Emergency Medicine (Tintinalli)) (ed. 7). New York: McGraw-Hill Companies. p. 432. ISBN 978-0-07-148480-0.
- Goldhaber SZ (). „Pulmonary thromboembolism”. În Kasper DL, Braunwald E, Fauci AS, et al. Harrison's Principles of Internal Medicine (ed. 16th). New York: McGraw-Hill. pp. 1561–65. ISBN 978-0-07-139140-5.
Vezi și
- Tromboză venoasă profundă
- Embolism
Legături externe
| Clasificare | |
|---|---|
| Resurse externe |
This article is issued from Wikipedia. The text is licensed under Creative Commons - Attribution - Sharealike. Additional terms may apply for the media files.
