Dorsalgie joasă
Dorsalgia joasă, durerea lombară sau lumbago este o afecțiune comună a spatelui. Aproximativ 40% dintre persoane sunt afectate la un moment dat pe parcursul vieții. Dorsalgia joasă poate fi clasificată în funcție de durată în acută (durerea durează mai puțin de 6 săptămâni), subacută (6 până la 12 săptămâni) sau cronică (peste 12 săptămâni). Această tulburare mai poate fi clasificată în funcție de cauza subiacentă, în durere mecanică, nemecanică sau durere referită.
| Durerea lombară | |
![]() Durerea lombară este o problemă frecventă și costisitoare | |
| Specialitate | ortopedie rehabilitation[*] |
|---|---|
| Clasificare și resurse externe | |
| ICD-9 | 724.2 |
| ICD-10 | M54.5 |
| ICD-11 | |
| MedlinePlus | 007422 007425 |
| eMedicine | pmr/73 |
| MeSH ID | D017116 |
În majoritatea episoadelor de durere lombară, nicio cauză specifică de fond nu este identificată sau cercetată, considerându-se că durerea este provocată de unele probleme mecanice precum suprasolicitarea musculară sau distensia articulară.[1][2] Dacă durerea nu dispare cu ajutorul medicamentelor tradiționale sau dacă este însoțită de semnale de avertizare („steaguri roșii”), precum pierdere nejustificată în greutate, febră sau modificări senzoriale ori de capacitate de mobilizare semnificative, teste suplimentare pot fi necesare pentru a identifica o o patologie subsecventă semnificativă. În majoritatea cazurilor, investigații imagistice precum tomografia computerizată cu raxe X nu sunt utile și sunt asociate unor riscuri suplimentare. Cu toate acestea, utilizarea investigațiilor imagistice în durerea lombară a crescut. O parte dintre cazurile de durere lombară sunt cauzate de leziuni ala discurilor intervertebrale, iar testul de elongație sciatică este util pentru a identifica această cauză. În cazul pacienților cu durere cronică, sistemul de procesare a durerii poate să nu funcționeze corespunzător, provocând dureri foarte mari ca răspuns la evenimente care nu sunt grave.
Tratamentul durerii lombare nespecifice acute constă, în general, în măsuri conservatoare, precum utilizarea analgezicelor clasice și menținerea activităților normale, în măsura în care durerea o permite. Medicamentele sunt recomandate atât timp cât au efect, acetaminofenul (cunoscut și sub numele de paracetamol) fiind primul medicament preferat. Simptomele durerii lombare se ameliorează, de obicei, în câteva săptămâni de la data apariției, iar 40-90% dintre pacienți se vindecă în maximum șase săptămâni.
Un număr de alte opțiuni sunt disponibile pentru cei care nu se ameliorează cu măsuri uzuale. Opioidele pot fi utile, analgezicele uzuale nu sunt de ajuns, însă, în general, nu sunt recomandate din cauza efectelor secundare. Intervențiile chirurgicale pot fi benefice pentru persoanele cu durere cronică asociată cu afecțiuni discale și dizabilitate semnificativă. De asemenea, pot fi utile și pentru cazurile de stenoză spinală. Pentru alte cazuri de durere lombară nespecifică nu a fost identificat nici un avantaj clar al opțiunilor chirurgicale. Durerea lombară afectează adeseori starea de spirit, care poate fi îmbunătățită prin consiliere și/sau administrarea de antidepresive. De asemenea, există multe terapii de medicină alternativă, inclusiv tehnica Alexander și medicamentele pe bază de plante, însă nu există suficiente dovezi pentru a fi recomandate cu încredere. Tehnicile de chiropractică precum și manipulările spinale dau rezultate eterogene.
Semne și simptome
În prezentarea comună a durerii lombare, durerea se instalează după deplasări care implică acțiuni de ridicare, răsucire și aplecare. Simptomele pot apărea la scurt timp după realizarea unor deplasări sau imediat a doua zi dimineață. Descrierea simptomelor poate varia de la sensibilitatea la un anumit punct până la durerea iradiată. Durerea se poate înrăutăți sau nu din cauza anumitor mișcări, precum ridicarea unui picior sau în anumite poziții, precum statul în poziție așezat sau în picioare. Este posibilă apariția durerii care iradiază de-a lungul picioarelor (cunoscută drept sciatică). Prima experiență a durerii lombare acute apare, de obicei, între vârsta de 20 și 40 de ani. Acesta reprezintă, de obicei, primul motiv pentru care o persoană se prezintă la medicul de familie ca adult.[1] Episoadele recurente apar la peste jumătate dintre persoane[3], episoadele repetate fiind, în general, mai dureroase decât primul.[1]
Odată cu durerea lombară pot apărea și alte probleme. Durerea lombară cronică este asociată cu tulburări de somn, inclusiv cu o perioadă lungă de timp necesară pentru a adormi, somn de scurtă durată și somn neodihnitor.[4] De asemenea, majoritatea persoanelor cu durere lombară cronică prezintă simptome de depresie[5] sau anxietate.[6]
Cauze

Durerea lombară nu este o boală specifică, ci o acuză care poate fi determinată de o serie largă de probleme de fond, cu niveluri diferite de gravitate.[7] Majoritatea cazurilor de durere lombară nu au nicio cauză clară,[1] dar se consideră a fi rezultatul unor afecțiuni grave ale mușchilor sau al unor afecțiuni scheletice grave, precum luxațiile sau distensiile.[2] Obezitatea, fumatul, îngrășarea în timpul sarcinii, stresul, condiția fizică slabă, poziția incorectă a corpului și poziția necorespunzătoare în somn pot, de asemenea, contribui la apariția durerii lombare.[2] O listă de cauze posibile completă include mai multe afecțiuni mai puțin comune.[8] Cauzele fizice pot include osteoartrita, artrita reumatoidă, degenerarea discurilor dintre vertebre sau o hernie de disc, o vertebră ruptă (precum în cazul osteoporozei) sau, în cazuri rare, o infecție sau o tumoră la coloană.[9]
Femeile pot acuza durerea lombară din cauza unor afecțiuni medicale care afectează sistemul reproducător feminin, inclusiv endometrioza, chisturile ovariene, cancerul ovarian sau fibroamele uterine.[10] Aproape jumătate dintre toate femeile însărcinate au acuzat dureri de spate sau în regiunea sacrală în timpul sarcinii, din cauza schimbării poziției corpului și a centrului de gravitate, care provoacă distensia mușchilor și a ligamentelor.[11]
Fiziopatologie
Structura spatelui
![]() |
![]() | |
The five lumbar vertebrae define the lower back region |
The structures surrounding and supporting the vertebrae can be sources of low back pain |
Regiunea lombară constă în cinci vertebre (L1-L5). Între acestea se află discuri fibrocartilaginoase, care acționează ca niște perne, împiedicând frecarea intervertebrală și protejând măduva spinării. Nervii vin de la și se îndreaptă către măduva spinării prin intermediul canalelor specifice dintre vertebre, dând pielii simțul tactil și trimițând mesaje mușchilor. Stabilitatea coloanei este dată de ligamentele și mușchii spatelui și abdomenului. Articulațiile mici, denumite articulații fațetare, limitează și controlează mișcarea coloanei.[12]
Mușchii multifizi se regăsesc pe toată suprafața inferioară a coloanei, fiind importanți pentru a păstra coloana dreaptă și stabilă în timpul mișcărilor clasice, precum așezatul, mersul și ridicatul.[13] Una dintre problemele cu acești mușchi se regăsește adesea la o persoană care suferă de durere lombară, deoarece din cauza durerii de spate persoana își folosește mușchii în mod necorespunzător în încercarea de a evita durerea.[14] Problema care afectează mușchii multifizi continuă chiar și după ce durerea dispare, fiind probabil un motiv important al reapariției durerii.[14] Ca parte a programului de recuperare, se recomandă educarea pacienților cu durere lombară cronică cu privire la modul în care trebuie să folosească acești mușchi.[14]
Un disc intervertebral are un miez gelatinos numit nucleu pulpos înconjurat de un inel fibros.[15] Când este în stare normală, neafectată, cea mai mare parte din disc nu este deservită nici de circulație, nici de sistemele nervoase – sângele și nervii ajung doar la periferia discului.[15] Celulele specializate care pot supraviețui fără o sursă directă de sânge se află în interiorul discului.[15] În timp, discurile își pierd din flexibilitate și din abilitatea de a absorbi forțele fizice.[7] Această abilitate redusă de a gestiona forțele fizice amplifică stresul aplicat altor părți din coloană, ducând la îngroșarea ligamentelor coloanei în alte regiuni ale acesteia și la dezvoltarea unor excrescențe osoase pe vertebre.[7] Prin urmare, există mai puțin spațiu prin care măduva spinării și nervii pot trece.[7] Atunci când un disc se degenerează ca urmare a rănirii sau îmbolnăvirii, aspectul acestuia se schimbă: vasele de sânge și nervii pot crește în interior și/sau materialul discului herniat poate apăsa direct pe o rădăcină nervoasă.[15] Oricare dintre aceste schimbări poate duce la apariția durerii lombare.[15]
Senzația de durere
În general, durerea este o senzație neplăcută provocată de un eveniment care afectează sau poate afecta țesuturile. Există patru etape majore în procesul de percepție a durerii: transducție, transmitere, percepție, și modulație.[13] Celulele nervoase care detectează durerea au corpuri celulare amplasate în ganglionii rădăcinilor dorsale și fibre care transmit aceste semnale către măduva spinării.[16] Procesul de percepție a durerii începe când evenimentul care provoacă durerea declanșează terminațiile celulelor nervoase senzoriale corespunzătoare. Acest tip de celule transformă evenimentul într-un semnal electric prin transducție. Mai multe tipuri de fibre nervoase asigură transmiterea semnalului electric de la celula transductoare la cornul posterior al măduvei spinării, de acolo la trunchiul cerebral, și în cele din urmă de la trunchiul cerebral la diverse părți ale creierului, precum talamusul și sistemul limbic. În interiorul creierului, semnalele de durere sunt procesate și contextualizate în procesul de percepțiea durerii. Prin intermediul modulației, creierul poate modifica transmiterea unor impulsuri nervoase ulterioare prin amplificarea sau reducerea eliberării neurotransmițătorilor.[13]
Este posibil ca unele părți ale sistemului de detectare și procesare a durerii să nu funcționeze în mod corespunzător: crearea unei senzații de durere atunci când nu există cauze externe, semnalizarea de lungă durată a unei anumite cauze sau semnalizarea durerii la un eveniment în mod normal nedureros. De asemenea, este posibil ca mecanismele de modulație a durerii să nu funcționeze în mod corespunzător. Aceste fenomene reprezintă o parte a durerii cronice.[13]
Diagnostic
Având în vedere că structura coloanei este complexă, iar prezentarea durerilor este subiectivă și afectată de factori sociali, diagnosticarea durerii lombare nu este simplă.[8] Dacă majoritatea durerilor lombare sunt cauzate de probleme musculare și articulare, această cauză trebuie să fie separată de problemele neurologice, tumorile spinale, fracturi spinale și infecții, printre altele.[1][17]
Clasificare
Există o serie de metode pentru a clasifica durerea lombară, însă nu s-a stabilit care metodă este cea mai bună.[8] Există trei tipuri generale de durere lombară, clasificate în funcție de cauze:
- durere lombară mecanică (inclusiv distensia musculo-scheletică nespecifică) hernie de disc, rădăcini nervoase comprimate, discopatie degenerativă sau osteoartrtită și vertebre rupte),
- durere de coloană nemecanică (tumori, boli inflamatorii, precum spondiloartrita și infecții)
- durerea iradiată de organele interne (boli ale vezicii urinare, pietre la rinichi, infecții renale și anevrism aortic, printre altele).[8]
Problemele mecanice sau musculo-scheletice se află la baza celor mai multe cazuri (aproximativ 90% sau mai mult),[8][18] iar dintre acestea, majoritatea (în jur de 75%) nu au nicio cauză specifică, considerându-se a fi cauzate de clacaje musculare sau de o leziune a ligamentelor.[8][18] În cazuri rare, acuzele de durere lombară sunt rezultatul unor probleme sistemice sau psihologice, precum fibromialgie și tulburările somatoforme.[18]
Durerea lombară poate fi clasificată în funcție de semnale și simptome. Durerea difuză care nu se schimbă ca urmare a unor mișcări specifice și este localizată în partea lombară, fără a radia în zona șezutului, este clasificată drept nespecifică, fiind cea mai comună clasificare.[8] Durerea care iradiază pe picior până sub genunchi, este localizată pe o parte (în cazul herniei de disc), sau pe ambele părți (în cazul stenozei spinale) și își modifică gradul de gravitate în funcție de anumite poziții sau manevre este radiculară, reprezentând 7% din cazuri.[8] Durerea care este însoțită de semnale de avertizare precum traume, febră, antecedente de cancer sau slăbiciune musculară pot indica o problemă de fond mai gravă, fiind clasificată drept necesită atenție urgentă sau specializată.[8]
De asemenea, simptomele pot fi clasificate în funcție de durată în acute, subcronice (cunoscute și sub numele de subacute) sau cronice. Durata specifică necesară pentru a prezenta unul dintre aceste simptome nu este general stabilită, dar, în general, durerea care durează mai puțin de șase săptămâni este clasificată drept „acută”, durerea care durează între șase și douăsprezece săptămâni este „subcronică”, iar cea care durează mai mult de douăsprezece săptămâni este „cronică”.[17] Gestionarea și prognosticul pot fi modificate în funcție de durata simptomelor.
Semnale de avertizare
| Semnal de avertizare[19] | Cauză posibilă[1] |
|---|---|
| Antecedente de cancer în istoricul medical | Cancer |
| Pierdere în greutate neexplicată | |
| Pierderea controlului asupra vezicii sau sfincterului | Sindromul de coadă de cal |
| Reducere semnificativă a capacităților motrice sau deficit senzorial | |
| Pierderea simțurilor în zona șezutului (anestezie în șa) | |
| Traume semnificative asociate cu vârsta | Fractură |
| Utilizare cronică a corticosteroizilor | |
| Durere semnificativă în urma unei intervenții lombare în ultimul an | Infecție |
| Temperatură | |
| Infecții ale tractului urinar | |
| Imunosupresie | |
| Utilizare de droguri administrate intravenos |
Prezența anumitor semnale, denumite semnale de avertizare, indică necesitatea efectuării unor teste suplimentare pentru a identifica problemele subiacente mai grave, care ar putea necesita tratament imediat sau specializat.[8] Prezența unui semnal de avertizare nu înseamnă că există o problemă semnificativă, ci doar sugerează anumite probleme,[20][21] iar majoritatea persoanelor care prezintă semnale de avertizare nu au nicio problemă subiacentă gravă.[1][17] Dacă nu există niciun semnal de avertizare, s-a demonstrat că efectuarea unor radiografii de diagnosticare sau a unor teste de laborator în primele patru săptămâni de la apariția simptomelor este inutilă.[8]
Utilitatea multor semnale de avertizare nu a fost demonstrată convingător.[22] Cele mai utile metode pentru detectarea unei fracturi sunt: vârsta înaintată, utilizarea de corticosteroizi și traumele semnificative, în special dacă acest lucru conduce la semne pe piele.[22] Cel mai bun determinant al prezenței cancerului este existența acestuia în istoricul medical.[22]
După eliminarea celorlalte cauze, persoanele cu durere lombară nespecifică sunt, în general, tratate simptomatic, fără o stabilire exactă a cauzei.[1][17] Eforturile de a identifica factorii care ar putea duce la o complicație a diagnosticului, precum depresia, abuzul de substanțe sau anumite intenții legate de plata asigurării ar putea fi utile.[8]
Teste
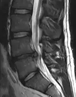
![]() |
![]() | |
The straight leg raise test can detect pain originating from a herniated disc. When warranted, imaging such as MRI can provide clear detail about disc related causes of back pain (L4–L5 disc herniation shown) | ||
Este indicată efectuarea unor radiografii în cazul existenței unor semnale de avertizare, simptome neurologice persistente care nu dispar sau dureri constante ori agravante.[8] În special, utilizarea timpurie a radiografiilor (IRM sau CT) este recomandată în cazul în care pacientul este suspectat de cancer, infecții sau sindromul cozii de cal.[8] Imagistica prin rezonanță magnetică (IRM) este ușor mai bună decât testele CT pentru a identifica bolile de coloană - cele două tehnologii sunt la fel de utile pentru a diagnostica stenoza spinală.[8] Numai câteva teste de diagnosticare fizică sunt utile.[8] Testul de elongație femurală iese aproape întotdeauna pozitiv la persoanele cu hernie de disc.[8] Discografia lombară stimulată poate fi utilă pentru a identifica un anumit disc care provoacă durere persoanelor cu niveluri ridicate cronice de durere lombară.[23] În mod similar, procedurile terapeutice, precum blocajele nervoase, pot fi folosite pentru a identifica o anumită sursă de durere.[8] Unele probe încurajează utilizarea injecțiilor în articulațiile fațetate, injecțiilor epidurale transforaminale și a injecțiilor sacroiliace ca metode de testare a diagnosticului.[8] Majoritatea celorlalte teste fizice, precum evaluarea scoliozei, slăbiciunea musculară sau wastingul muscular, precum și reflexele afectate au o utilitate redusă.[8]
Acuzele de durere lombară reprezintă unul dintre cele mai des întâlnite motive pentru prezentarea la medic.[24][25] În cazul durerii care a persistat numai câteva săptămâni, este probabil ca durerea să dispară de la sine.[26] Așadar, dacă istoricul medical și examinare fizică ale unei persoane nu sugerează o anumită boală drept cauză, societățile medicale nu recomandă efectuarea unor teste radiografice precum radiografii, tomografii CT și IRM.[25] Este posibil ca persoanele să își dorească efectuarea acestor teste, însă, dacă nu există semnale de avertizare,[27][28] acestea reprezintă o îngrijire medicală inutilă.[24][26] Efectuarea radiografiilor de rutină duce la creșterea costurilor, este asociată cu niveluri mai mari de intervenții chirurgicale fără nici un beneficiu real,[29][30] iar radiațiile folosite pot dăuna sănătății.[29] Mai puțin de 1% dintre testele radiologice stabilesc cauza problemei.[24] Imagistica poate, de asemenea, detecta anomaliile, încurajând pacienții să solicite efectuarea unor teste suplimentare inutile sau să se îngrijoreze.[24] În pofida acestor lucruri, în perioada 1994-2006, numărul de radiografii IRM efectuate regiunii lombare a crescut cu peste 300% în cazul beneficiarilor de servicii medicale din Statele Unite.[31]
Prevenire
Metodele eficiente de prevenire a durerii lombare nu sunt destul de elaborate.[32] Mișcarea reprezintă, probabil, cea mai eficientă metodă de a preveni reapariția durerii la persoanele care s-au confruntat cu o durere pe o perioadă mai mare de șase săptămâni.[1][33] Saltelele cu grad de rigiditate mediu sunt mult mai benefice în cazul durerii cronice decât saltelele rigide.[34] Există puține dovezi, aproape inexistente, care demonstrează că centurile lombare sunt mai utile în prevenirea durerii lombare decât educația privind tehnicile corespunzătoare de ridicare.[35] Talonetele nu ajută la prevenirea durerii lombare.[36]
Management
Managementul durerii lombare depinde de categoria generală aflată la baza acesteia: probleme mecanice, probleme nemecanice sau durere iradiată.[37] În ceea ce privește durerea acută care provoacă probleme ușoare până la moderate, scopul este restabilirea funcției normale, reîntoarcerea individului la locul de muncă și reducerea la minimum a durerii. În general, această afecțiune nu este gravă, dispare fără a depune prea multe eforturi, iar la recuperare contribuie încercarea de a reveni la activitățile normale cât mai curând, în funcție de limitele de durere.[17] Stimularea capacității de a face față prin reconfirmarea acestor lucruri este utilă în grăbirea procesului de recuperare.[1] În cazul persoanelor cu durere lombară subcronică sau cronică, programele de tratament multidisciplinar pot fi un factor ajutător.[38]
Gestionarea fizică
Se recomandă cât mai multă activitate fizică generală, însă nu s-a stabilit nicio relație clară cu durerea sau dizabilitatea în momentul utilizării sale pentru tratarea episodului de durere acută.[33][39] În ceea ce privește durerea acută, dovezile de calitate redusă până la moderată sunt în favoarea mersului pe jos.[40] Tratamentul conform metodei McKenzie este destul de eficient pentru durerea lombară acută recurentă, dar beneficiile sale pe termen scurt nu par semnificative.[1] Există unele probe care susțin terapia cu căldură pentru durerea lombară acută și subcronică,[41] însă există dovezi puține cu privire la utilizarea terapiei la rece sau cu căldură în ceea ce privește durerea cronică.[42] Dovezi limitate sugerează că centurile lombare ar putea reduce numărul de zile lucrătoare pierdute, însă nimic nu sugerează că acestea vor contribui la suportarea durerii.[35] Terapiile cu ultrasunete și unde de șoc nu par eficace și, prin urmare, nu sunt recomandate.[43]
Exercițiile fizice sunt eficace în reducerea durerii și în îmbunătățirea funcționării persoanelor cu durere lombară cronică.[35] De asemenea, se pare că această terapie reduce ratele de recurență cu până la șase luni de la finalizarea programului,[44] îmbunătățind funcțiile pe termen lung.[42] Nu există nicio dovadă cu privire la eficacitatea terapiei prin exerciții fizice față de alte terapii.[45] Tehnica Alexander pare folositoare în cazul durerii lombare cronice,[46] existând dovezi care susțin utilizarea metodei yoga.[47] Electrostimularea transcutanată a nervilor (TENS) nu s-a dovedit eficientă în ceea ce privește durerea lombară cronică.[48] Dovezile privind utilizarea talonetelor ca tratament sunt neconcludente.[36] Stimularea fibrelor nervoase periferice, o procedură minim invazivă, poate fi utilă în cazurile de durere lombară cronică care nu răspund la alte metode, deși dovezile care susțin utilizarea sa nu sunt concludente, iar metoda este ineficace pentru durerea care iradiază în picior.[49]
Tratament medicamentos
Gestionarea durerii lombare include adesea administrarea de medicamente pentru durata pe care au efect. În cazul primului episod de durere lombară, există speranța vindecării complete, însă, dacă problemele se cronicizează, obiectivele se pot concentra pe gestionarea durerii și recuperarea funcției cât mai mult posibil. Deoarece calmantele sunt eficace doar într-o oarecare măsură, așteptările privind beneficiile lor pot fi diferite de realitate, iar acest lucru poate conduce la un grad de satisfacție scăzut.[5]
Medicamentele recomandate inițial sunt fie acetaminofenul, fie AINS (nu aspirina), acestea fiind suficiente pentru majoritatea persoanelor. Dozele standard de acetaminofen sunt foarte sigure, însă dozele foarte mari pot provoca probleme cu ficatul.[5] Medicamentele AINS sunt mai eficace pentru episoadele acute decât acetaminofenul, însă acestea au un risc mai ridicat de apariție a unor efecte secundare, inclusiv: insuficiență renală, ulcere stomacale și posibil boli cardiace. Astfel, medicamentele AINS sunt a doua alegere după acetaminofen, recomandate doar în cazul în care durerea nu este gestionată de acesta. AINS sunt disponibile în mai multe clase diferite; nu există nicio dovadă pentru a sprijini utilizarea inhibitoarelor de COX2 față de alte clase de AINS cu privire la beneficii.[5] În ceea ce privește siguranța, naproxenul ar putea fi alegerea cea mai bună.[50] Miorelaxantele pot, de asemenea, fi benefice.[5]
Dacă durerea tot nu este gestionată în mod adecvat, pot fi folosite opioidele, precum morfina. Aceste medicamente prezintă riscul producerii dependenței, putând avea interacțiuni negative cu alte medicamente și având un risc mai mare de apariție a unor efecte secundare, inclusiv amețeală, greață și constipație. Opioidele ar putea fi adecvate pentru gestionarea pe termen scurt a durerii severe, acute, care provoacă dureri semnificative.[5] Grupurile de specialiști nu recomandă utilizarea pe termen lung a opioidelor pentru durerea lombară cronică.[5] Pentru persoanele vârstnice cu durere cronică, opioidele pot fi administrate pacienților cu diabet, probleme de stomac sau de inimă. De asemenea, acestea ar putea fi utile pentru un anumit grup de persoane cu durere neuropatică.[51]
Antidepresivele ar putea fi eficace pentru tratarea durerii cronice asociată cu simptomele de depresie, însă prezintă riscul apariției unor efecte secundare. Deși anticonvulsivantele precum gabapentina și carbamazepina sunt uneori folosite pentru durerea lombară cronică și pot atenua durerea sciatică, există dovezi insuficiente pentru a sprijini utilizarea lor.[5] Steroizii orali sistemici nu au prezentat niciun avantaj în cazul durerii lombare.[1][5] Injecțiile în articulațiile fațetate și injecțiile cu steroizi în discuri nu s-au dovedit a fi eficace la persoanele cu durere persistentă care nu iradiază. Cu toate acestea, ar putea fi luate în considerare pentru persoanele cu durere sciatică persistentă.[52] Injecțiile epidurale cu corticosteroizi oferă o ameliorare ușoară și chestionabilă pe termen scurt la pacienții cu sciatică, însă nu au beneficii pe termen lung.[53]
Intervenția chirurgicală
Chirurgia poate fi utilă la persoanele cu hernie de disc care provoacă durere iradiantă semnificativă în picior, slăbiciunea semnificativă a piciorului, probleme cu vezica sau incontinență rectală.[54] De asemenea, această metodă ar putea fi utilă la persoanele cu stenoză spinală.[55] În absența acestor probleme, nu există nicio dovadă clară a beneficiilor obținute de pe urma chirurgiei.[54]
Discectomia (eliminarea parțială a discului care provoacă durerea la nivelul piciorului) poate duce la eliminarea durerii mai repede decât tratamentele nechirurgicale.[54] Discectomia are rezultate mai bune pe termen de un an, însă nu și pe perioadă de patru până la zece ani.[54] Microdiscectomia, care este mai puțin invazivă, nu a arătat rezultate diferite de discectomia normală.[54] Pentru majoritatea celorlalte afecțiuni, nu există suficiente recomandări pentru opțiuni chirurgicale.[54] Efectul pe termen lung al intervenției chirurgicale asupra discopatiei degenerative nu este clar.[54] Opțiunile chirurgicale mai puțin invazive au perioade de recuperare mai bune, însă dovezile referitoare la eficacitate sunt insuficiente.[54]
În cazul persoanelor la care durerea este localizată în zona lombară din cauza degenerării de disc, există dovezi puține care susțin fuziunea spinală ca având efecte egale cu fizioterapia intensivă și ușor mai bune decât măsurile nechirurgicale de intensitate scăzută.[55] Fuziunea poate fi luată în considerare la pacienții cu durere lombară provocată de displazie vertebrală dobândită care nu se ameliorează folosind tratamentele tradiționale,[54] deși numai câțiva pacienți cu fuziune spinală au obținut rezultate bune.[55] Există o serie de diferite proceduri chirurgicale pentru a obține fuziunea, însă nu există dovezi clare privind funcționarea unei metode mai bine decât a alteia.[56] Adăugarea dispozitivelor de implant spinal în timpul fuziunii sporește riscurile și nu oferă nicio ameliorare suplimentară a durerii sau a funcțiilor.[31]
Medicina alternativă
Nu este clar dacă chiropractica sau terapia de manipulare spinală (TMS) duce la îmbunătățirea rezultatelor la pacienții cu durere lombară mai mult sau mai puțin decât alte tratamente.[57] Unele rapoarte au descoperit că rezultatele SMT conduc la ameliorări egale sau îmbunătățite ale durerii și funcțiilor față de intervențiile utilizate în general pentru monitorizarea pe termen scurt, mediu și lung;[58][59] alte rapoarte au descoperit că această metodă nu este mai eficace în reducerea durerii decât intervențiile inerte, manipularea simulată sau alte tratamente și concluzionează că adăugarea tehnicii SMT nu îmbunătățește rezultatele.[6][60] Ghidurile naționale ajung la diferite concluzii, unele recomandând manipularea spinală, altele descriind manipularea drept opțională, iar altele recomandând o cură scurtă pentru pacienții care nu observă îmbunătățiri cu alte tratamente.[17] Manipularea sub anestezie sau manipularea asistată medical nu prezintă suficiente dovezi pentru a face o recomandare de încredere.[61]
Acupunctura nu este mai bună decât metoda placebo, îngrijirea obișnuită sau acupunctura simulată pentru durerea acută nespecifică sau durerea subcronică.[62] În cazul pacienților cu durere cronică, acupunctura ameliorează durerea puțin mai mult decât lipsa totală a unui tratament și are aproape același efect ca medicamentele, însă nu ajută deloc în cazul incapacității de deplasare.[62] Acest beneficiu al durerii este prezent doar imediat după tratament și în perioada de monitorizare.[62] Acupunctura poate fi o metodă rezonabilă de încercat pentru pacienții cu durere cronică care nu răspund la alte tratamente precum îngrijirea și medicamentele tradiționale.[1][63] Dacă, pe de o parte, terapia prin masaj nu pare să ofere multe beneficii pentru durerea lombară acută,[1] pe de altă parte, acupunctura îi poate ajuta pe pacienții cu durere subcronică sau cronică, în special dacă este combinată cu exercițiile fizice și educația fizică.[64] Dovezile sugerează că acupunctura și masajul împreună pot fi mai benefice decât masajul separat.[64]
Infiltrațiile locale, practica de injectare a soluțiilor în articulațiile spatelui pentru a provoca inflamarea acestora și astfel pentru a stimula răspunsul corpului la vindecare, nu s-a dovedit eficace realizată separat, deși poate fi utilă dacă este combinată cu alte terapii.[6] Neuroflexoterapia, care presupune poziționarea unor piese metalice de mici dimensiuni sub pielea din regiunea urechii și a spatelui, pare să fie mai eficace în ceea ce privește reducerea durerii lombare și îmbunătățirea funcțiilor, deși dovezile care sprijină acest lucru sunt puține.[6][65] Tratamentele pe bază de plante Gheara diavolului și salcia albă pot reduce numărul de persoane care acuză niveluri ridicate de durere. Cu toate acestea, în cazul persoanelor care iau calmante, această diferență este nesemnificativă.[6] Capsicum, sub formă de gel sau plasturi, s-a demonstrat că reduce durerea și îmbunătățește funcțiile.[6]
Terapia comportamentală poate fi utilă în cazul durerii cronice.[66] Există mai multe tipuri disponibile, inclusiv condiționarea operantă, care folosește consolidarea pentru a reduce comportamentele nedorite și pentru a spori comportamentele dezirabile; terapia cognitiv-comportamentală, care îi ajută pe oameni să identifice și să corecteze gândirea și comportamentul negative; și condiționarea comportamentului respondent, care poate modifica răspunsul fiziologic al unui individ la durere. Furnizorii de servicii medicale pot dezvolta un program integrat de terapii comportamentale.[6] Dovezile sunt neconcludente cu privire la reducerea intensității durerii lombare cronice sau a incapacității de deplasare asociată cu reducerea stresului bazată pe concentrare asupra prezentului, deși sugerează că poate fi utilă în ceea ce privește îmbunătățirea acceptării durerii existente.[67]
Prognostic
Per ansamblu, rezultatul durerii lombare acute este pozitiv. De obicei, durerea și incapacitatea de deplasare sunt ameliorate în mare măsură în primele șase săptămâni, cu recuperare completă raportată de 40-90% din pacienți.[68] În cazul persoanelor care încă prezintă simptome după șase săptămâni, ameliorarea este în general mai lentă, cu recuperare treptată de până la un an. După un an, nivelurile de durere și incapacitatea de deplasare sunt reduse la minimum în majoritatea cazurilor. Disconfortul, durerea lombară anterioară și gradul de mulțumire la locul de muncă sunt factori anticipativi ai rezultatului pe termen lung după un episod de durere acută.[68] Anumite probleme psihologice, precum depresia sau nefericirea, cauzate de pierderea locului de muncă, pot prelungi episodul de durere lombară.[5] În urma episodului inițial de durere lombară, recurențele apar la peste jumătate dintre persoane.[3]
În ceea ce privește durerea lombară persistentă, rezultatul pe termen scurt este, de asemenea, pozitiv, cu ameliorare în primele șase săptămâni, însă după aceea se observă puține îmbunătățiri. În termen de un an, persoanele cu durere lombară cronică vor avea în continuare dureri și nu se vor putea deplasa decât moderat.[68] Persoanele cu grad de dizabilitate mai ridicat pe termen lung includ persoanele cu abilități slabe de suportare a durerii sau cu teamă de efectuarea unor activități (de 2,5 ori mai probabil să obțină rezultate slabe după un an),[69] precum și persoanele care pot face față durerii doar la un nivel scăzut, cu deficiențe funcționale, sănătate generală proastă sau cu o componentă psihiatrică sau psihologică semnificativă a durerii (Semnele Waddell).[69]
Epidemiologie
Durerea lombară care durează cel puțin o zi și împiedică realizarea activităților reprezintă o durere comună.[32] În general, aproape 40% dintre persoane suferă de durere lombară la un moment dat în viață,[32] cu procentaje estimate la 80% în țările dezvoltate.[70] Aproximativ 9-12% dintre persoane (632 de milioane) suferă de durere lombară la un moment dat, iar aproximativ un sfert (23,2%) menționează că au fost afectate pe o perioadă de până la o lună.[32][71] De cele mai multe ori, dificultatea apare la persoanele cu vârste cuprinse între 20 și 40 de ani.[1] Durerea lombară este mai comună la persoanele cu vârste de 40–80 de ani, fiind preconizată creșterea numărului total de persoane afectate pe măsură ce populația îmbătrânește.[32]
Nu este clar stabilit dacă femeile sau bărbații înregistrează niveluri mai ridicate de durere lombară.[32][71] Un raport din 2012 a prezentat un procentaj de 9,6% în rândul bărbaților și de 8,7% în rândul femeilor.[71] Un alt raport din 2012 a stabilit că procentajul este mai mare la femei decât la bărbați, din cauză că este posibil ca acest lucru să se datoreze nivelurilor mai mari de durere provocate de osteoporoză, menstruație și sarcină la femei, sau pentru că există o probabilitate mai mare ca femeile să acuze dureri decât bărbații.[32] Aproximativ 70% dintre femei experimentează durerea lombară în timpul sarcinii, acest nivel fiind mai ridicat cu cât sarcina este mai avansată.[72] Persoanele care în prezent fumează, în special adolescenții, au șanse mai mari de a acuza durere lombară decât foștii fumători, iar foștii fumători au șanse mai mari de a acuza durere lombară decât persoanele care nu au fumat niciodată.[73]
Istoric

Durerea lombară este consemnată cel puțin din Epoca bronzului. Cel mai vechi tratat de chirurgie cunoscut, Papirusul Edwin Smith, care datează din 1500 î.e.n., descrie un test de diagnosticare și un tratament pentru distensia vertebrală. Hipocrate (n. 460 î.e.n. – d. 370 î.e.n.) a fost primul care a utilizat un termen pentru durerea sciatică și durerea lombară; Galen (activ de la jumătatea până la sfârșitul secolului al II-lea î.e.n.) a descris conceptul mai în detaliu. Până la sfârșitul primului mileniu, medicii nu încercaseră chirurgia lombară și recomandaseră expectativa vigilentă. În timpul perioadei medievale, vracii ofereau tratament pentru durerea lombară crezând că aceasta este provocată de spirite.[74]
La începutul secolului al XX-lea, medicii considerau că durerea lombară este provocată de inflamarea sau de afectarea nervilor,[74] nevralgia și nevrita fiind frecvent menționate de aceștia în literatura medicală din perioada respectivă.[75] Popularitatea acestor cauze propuse a scăzut în timpul secolului al XX-lea.[75] La începutul secolului al XX-lea, neurochirurgul american Harvey Williams Cushing a sporit acceptarea tratamentelor chirurgicale pentru durerea lombară.[54] În anii 1920 și 1930, au apărut noi teorii privind cauzele durerii lombare, medicii propunând o combinație între sistemul nervos și tulburările psihologice, precum slăbiciunea nervoasă (neurastenia) și isteria feminină.[74] Reumatismul muscular (în prezent denumit fibromialgie) a fost, de asemenea, menționat cu o frecvență din ce în ce mai mare.[75]
Tehnologiile emergente precum raxele X oferă medicilor noi instrumente de diagnosticare, dezvăluind discul intervertebral ca sursă a durerii lombare în unele cazuri. În 1938, chirurgul ortoped Joseph S. Barr a prezentat un raport privind cazuri de sciatică ameliorate sau vindecate cu ajutorul chirurgiei lombare.[75] Ca rezultat al muncii sale, în anii 1940, teoria discului vertebral al durerii lombare a câștigat teren,[74] dominând literatura pe parcursul anilor 1980, și contribuind la apariția unor tehnologii de imagistică, precum CT sau IRM.[75] Discuția a pierdut teren pe măsură ce cercetările au indicat că problemele de disc sunt o cauză relativ puțin frecventă a durerii. De atunci, medicii au realizat că este puțin probabilă identificarea unei cauze specifice pentru durerea lombară în multe cazuri și pun sub semnul întrebării necesitatea de a găsi o cauză deoarece, de cele mai multe ori, simptomele dispar în termen de 6 până la 12 săptămâni, indiferent de tratament.[74]
Societate și cultură
Durerea lombară conduce la costuri economice ridicate. În Statele Unite, este cel mai comun tip de durere la adulți, fiind responsabilă de o serie de zile absentate de la locul de muncă și fiind durerea musculoscheletală cea mai întâlnită în unitățile de primiri urgențe.[7] În 1998, s-a estimat că durerea lombară este responsabilă de 90 de miliarde USD cheltuite anual în domeniul sănătății, 5% dintre indivizi suportând cea mai mare parte dintre acestea (75%).[7] În perioada 1990-2001, numărul de intervenții chirurgicale efectuate pentru fuziunea spinală a fost de aproape două ori mai mare în Statele Unite, în ciuda faptului că nu au existat modificări referitoare la indicațiile pentru efectuarea intervențiilor, nici nu au apărut dovezi noi mai utile.[31] Costurile ulterioare apar sub formă de pierderi de venituri și productivitate, durerea lombară fiind responsabilă de 40% din totalul de zile de lucru pierdute în Statele Unite.[76] Durerea lombară provoacă dizabilități în procentaje mai mari asupra forței de muncă din Canada, Regatul Unit, Țările de Jos și Suedia decât din Statele Unite sau Germania.[76]
Cercetarea
Înlocuirea totală a discului reprezintă o opțiune experimentală,[15] însă nicio dovadă nu sprijină utilizarea sa în defavoarea fuziunii lombare.[54] Cercetătorii analizează posibilitatea de a crește noi structuri intervertebrale prin utilizarea factorilor de creștere umani injectați, a substanțelor injectate, a terapiei celulare și a ingineriei tisulare.[15]
Referințe
- Casazza, BA (). „Diagnosis and treatment of acute low back pain”. American family physician. 85 (4): 343–50. PMID 22335313.
- „Low Back Pain Fact Sheet”. National Institute of Neurological Disorders and Stroke. National Institute of Health. Arhivat din original la . Accesat în .
- Stanton, TR (aprilie 2010). „How do we define the condition 'recurrent low back pain'? A systematic review”. European spine journal : official publication of the European Spine Society, the European Spinal Deformity Society, and the European Section of the Cervical Spine Research Society. 19 (4): 533–9. doi:10.1007/s00586-009-1214-3. PMID 19921522.
- Kelly GA, Blake C, Power CK, O'keeffe D, Fullen BM (februarie 2011). „The association between chronic low back pain and sleep: a systematic review”. Clin J Pain. 27 (2): 169–81. doi:10.1097/AJP.0b013e3181f3bdd5. PMID 20842008.
- Miller SM (septembrie 2012). „Low back pain: pharmacologic management”. Prim. Care. 39 (3): 499–510. doi:10.1016/j.pop.2012.06.005. PMID 22958559.
- Marlowe D (septembrie 2012). „Complementary and alternative medicine treatments for low back pain”. Prim. Care. 39 (3): 533–46. doi:10.1016/j.pop.2012.06.008. PMID 22958563.
- Borczuk, Pierre (iulie 2013). „An Evidence-Based Approach to the Evaluation and Treatment of Low Back Pin in the Emergency Department”. Emergency Medicine Practice. 15 (7).
- Manusov EG (septembrie 2012). „Evaluation and diagnosis of low back pain”. Prim. Care. 39 (3): 471–9. doi:10.1016/j.pop.2012.06.003. PMID 22958556.
- „Fast Facts About Back Pain”. National Institute of Arthritis and Musculoskeletal and Skin Diseases. National Institute of Health. septembrie 2009. Accesat în .
- „Low back pain – acute”. U.S. Department of Health and Human Services – National Institutes of Health. Accesat în .
- Majchrzycki M, Mrozikiewicz PM, Kocur P; et al. (noiembrie 2010). „[Low back pain in pregnant women]”. Ginekol. Pol. (în Polish). 81 (11): 851–5. PMID 21365902.
- Floyd, R., & Thompson, Clem. (2008). Manual of structural kinesiology. New York, NY: McGraw-Hill Humanities/Social Sciences/Languages.
- Salzberg L (septembrie 2012). „The physiology of low back pain”. Prim. Care. 39 (3): 487–98. doi:10.1016/j.pop.2012.06.014. PMID 22958558.
- Freedman MD, Woodham MA, Woodham AW (martie 2010). „The role of the lumbar multifidus in chronic low back pain: a review”. PM & R: the journal of injury, function, and rehabilitation. 2 (2): 142–6. doi:10.1016/j.pmrj.2009.11.006. PMID 20193941.
- Hughes SP, Freemont AJ, Hukins DW, McGregor AH, Roberts S (octombrie 2012). „The pathogenesis of degeneration of the intervertebral disc and emerging therapies in the management of back pain” (PDF). J Bone Joint Surg Br. 94 (10): 1298–304. doi:10.1302/0301-620X.94B10.28986. PMID 23015552.
- Patel, NB (). „Chapter 3: Physiology of Pain”. În Kopf A, Patel NB. Guide to Pain Management in Low-Resource Settings. Arhivat din original la . Accesat în .
- Koes, BW (decembrie 2010). „An updated overview of clinical guidelines for the management of non-specific low back pain in primary care”. European Spine Journal. 19 (12): 2075–94. doi:10.1007/s00586-010-1502-y. PMID 20602122.
- Cohen SP, Argoff CE, Carragee EJ (). „Management of low back pain”. BMJ. 337: a2718. PMID 19103627.
- Davis PC, Wippold II FJ, Cornelius RS; et al. (). „American College of Radiology ACR Appropriateness Criteria – Low Back Pain” (PDF). Arhivat din original (PDF) la . Accesat în .
- Williams CM, Henschke N, Maher CG; et al. (). „Red flags to screen for vertebral fracture in patients presenting with low-back pain”. Cochrane Database of Systematic Reviews. 1: CD008643. doi:10.1002/14651858.CD008643.pub2. PMID 23440831.
- Henschke N, Maher CG, Ostelo RW, de Vet HC, Macaskill P, Irwig L (). „Red flags to screen for malignancy in patients with low-back pain”. Cochrane Database of Systematic Reviews. 2: CD008686. doi:10.1002/14651858.CD008686.pub2. PMID 23450586.
- Downie, A. (). „Red flags to screen for malignancy and fracture in patients with low back pain: systematic review”. BMJ. 347 (dec11 1): f7095–f7095. doi:10.1136/bmj.f7095. PMID 24335669.
- Manchikanti L, Glaser SE, Wolfer L, Derby R, Cohen SP (). „Systematic review of lumbar discography as a diagnostic test for chronic low back pain”. Pain Physician. 12 (3): 541–59. PMID 19461822. Arhivat din original la . Accesat în .
- „Use of imaging studies for low back pain: percentage of members with a primary diagnosis of low back pain who did not have an imaging study (plain x-ray, MRI, CT scan) within 28 days of the diagnosis”. Agency for Healthcare Research and Quality. . Arhivat din original la . Accesat în .
- American Academy of Family Physicians, „Ten Things Physicians and Patients Should Question”, Choosing Wisely: an initiative of the ABIM Foundation, American Academy of Family Physicians, accesat în
- American College of Physicians, „Five Things Physicians and Patients Should Question”, Choosing Wisely: an initiative of theABIM Foundation, American College of Physicians, accesat în
- Chou, R (). „Imaging strategies for low-back pain: systematic review and meta-analysis”. Lancet. 373 (9662): 463–72. doi:10.1016/S0140-6736(09)60172-0. PMID 19200918.
- Crownover BK, Bepko JL (aprilie 2013). „Appropriate and safe use of diagnostic imaging”. Am Fam Physician. 87 (7): 494–501. PMID 23547591.
- Chou, R (). „Diagnostic imaging for low back pain: advice for high-value health care from the American College of Physicians”. Annals of Internal Medicine. 154 (3): 181–9. doi:10.1059/0003-4819-154-3-201102010-00008. PMID 21282698.
- Flynn TW, Smith B, Chou R (noiembrie 2011). „Appropriate use of diagnostic imaging in low back pain: a reminder that unnecessary imaging may do as much harm as good”. J Orthop Sports Phys Ther. 41 (11): 838–46. doi:10.2519/jospt.2011.3618. PMID 21642763.
- Deyo, RA; Mirza, SK; Turner, JA; Martin, BI (). „Overtreating Chronic Back Pain: Time to Back Off?”. Journal of the American Board of Family Medicine : JABFM. 22 (1): 62–8. doi:10.3122/jabfm.2009.01.080102. PMC 2729142
. PMID 19124635. - Hoy D, Bain C, Williams G; et al. (iunie 2012). „A systematic review of the global prevalence of low back pain”. Arthritis Rheum. 64 (6): 2028–37. doi:10.1002/art.34347. PMID 22231424.
- Choi BK, Verbeek JH, Tam WW, Jiang JY (). Choi, Brian KL, ed. „Exercises for prevention of recurrences of low-back pain”. Cochrane Database of Systematic Reviews (1): CD006555. doi:10.1002/14651858.CD006555.pub2. PMID 20091596.
- Chou R, Qaseem A, Snow V; et al. (octombrie 2007). „Diagnosis and treatment of low back pain: a joint clinical practice guideline from the American College of Physicians and the American Pain Society”. Annals of Internal Medicine. 147 (7): 478–91. doi:10.7326/0003-4819-147-7-200710020-00006. PMID 17909209.
- Guild DG (septembrie 2012). „Mechanical therapy for low back pain”. Prim. Care. 39 (3): 511–6. doi:10.1016/j.pop.2012.06.006. PMID 22958560.
- Sahar T, Cohen MJ, Uval-Ne'eman V; et al. (aprilie 2009). „Insoles for prevention and treatment of back pain: a systematic review within the framework of the Cochrane Collaboration Back Review Group”. Spine. 34 (9): 924–33. doi:10.1097/BRS.0b013e31819f29be. PMID 19359999.
- Sprouse R (septembrie 2012). „Treatment: current treatment recommendations for acute and chronic undifferentiated low back pain”. Prim. Care. 39 (3): 481–6. doi:10.1016/j.pop.2012.06.004. PMID 22958557.
- Momsen AM, Rasmussen JO, Nielsen CV, Iversen MD, Lund H (noiembrie 2012). „Multidisciplinary team care in rehabilitation: an overview of reviews”. J Rehabil Med. 44 (11): 901–12. doi:10.2340/16501977-1040. PMID 23026978.
- Hendrick P, Milosavljevic S, Hale L; et al. (martie 2011). „The relationship between physical activity and low back pain outcomes: a systematic review of observational studies”. Eur Spine J. 20 (3): 464–74. doi:10.1007/s00586-010-1616-2. PMC 3048226
. PMID 21053026. - Hendrick P, Te Wake AM, Tikkisetty AS, Wulff L, Yap C, Milosavljevic S (octombrie 2010). „The effectiveness of walking as an intervention for low back pain: a systematic review”. Eur Spine J. 19 (10): 1613–20. doi:10.1007/s00586-010-1412-z. PMC 2989236
. PMID 20414688. - French, SD.; Cameron, M.; Walker, BF.; Reggars, JW.; Esterman, AJ. (). „Superficial heat or cold for low back pain”. Cochrane Database of Systematic Reviews (1): CD004750. doi:10.1002/14651858.CD004750.pub2. PMID 16437495.
- van Middelkoop M, Rubinstein SM, Kuijpers T, Verhagen AP, Ostelo R, Koes BW, van Tulder MW (). „A systematic review on the effectiveness of physical and rehabilitation interventions for chronic non-specific low back pain”. Eur Spine J. 20 (1): 19–39. doi:10.1007/s00586-010-1518-3. PMC 3036018
. PMID 20640863. - Seco J, Kovacs FM, Urrutia G (octombrie 2011). „The efficacy, safety, effectiveness, and cost-effectiveness of ultrasound and shock wave therapies for low back pain: a systematic review”. Spine J. 11 (10): 966–77. doi:10.1016/j.spinee.2011.02.002. PMID 21482199.
- Smith C, Grimmer-Somers K. (). „The treatment effect of exercise programmes for chronic low back pain”. J Eval Clin Pract. 16 (3): 484–91. doi:10.1111/j.1365-2753.2009.01174.x. PMID 20438611.
- van Middelkoop M, Rubinstein SM, Verhagen AP, Ostelo RW, Koes BW, van Tulder MW (). „Exercise therapy for chronic nonspecific low-back pain”. Best Pract Res Clin Rheumatol. 24 (2): 193–204. doi:10.1016/j.berh.2010.01.002. PMID 20227641.
- Woodman, JP (ianuarie 2012). „Evidence for the effectiveness of Alexander Technique lessons in medical and health-related conditions: a systematic review”. International journal of clinical practice. 66 (1): 98–112. doi:10.1111/j.1742-1241.2011.02817.x. PMID 22171910.
- Posadzki, P (septembrie 2011). „Yoga for low back pain: a systematic review of randomized clinical trials”. Clinical rheumatology. 30 (9): 1257–62. doi:10.1007/s10067-011-1764-8. PMID 21590293.
- Dubinsky, R. M.; Miyasaki, J. (). „Assessment: Efficacy of transcutaneous electric nerve stimulation in the treatment of pain in neurologic disorders (an evidence-based review): Report of the Therapeutics and Technology Assessment Subcommittee of the American Academy of Neurology”. Neurology. 74 (2): 173–6. doi:10.1212/WNL.0b013e3181c918fc. PMID 20042705.
- Nizard J, Raoul S, Nguyen JP, Lefaucheur JP (octombrie 2012). „Invasive stimulation therapies for the treatment of refractory pain”. Discov Med. 14 (77): 237–46. PMID 23114579.
- Coxib and traditional NSAID Trialists' (CNT), Collaboration (). „Vascular and upper gastrointestinal effects of non-steroidal anti-inflammatory drugs: meta-analyses of individual participant data from randomised trials”. Lancet. 382 (9894): 769–79. doi:10.1016/S0140-6736(13)60900-9. PMID 23726390.
- de Leon-Casasola OA (martie 2013). „Opioids for chronic pain: new evidence, new strategies, safe prescribing”. Am. J. Med. 126 (3 Suppl 1): S3–11. doi:10.1016/j.amjmed.2012.11.011. PMID 23414718.
- Chou R, Loeser JD, Owens DK, Rosenquist RW, Atlas SJ, Baisden J, Carragee EJ, Grabois M, Murphy DR, Resnick DK, Stanos SP, Shaffer WO, Wall EM; American Pain Society Low Back Pain Guideline Panel (). „Interventional therapies, surgery, and interdisciplinary rehabilitation for low back pain: An evidence-based clinical practice guideline from the American Pain Society”. Spine. 34 (10): 1066–77. doi:10.1097/BRS.0b013e3181a1390d. PMID 19363457.
- Pinto, RZ (). „Epidural corticosteroid injections in the management of sciatica: a systematic review and meta-analysis”. Annals of Internal Medicine. 157 (12): 865–77. PMID 23362516.
- Manusov, EG (septembrie 2012). „Surgical treatment of low back pain”. Primary care. 39 (3): 525–31. doi:10.1016/j.pop.2012.06.010. PMID 22958562.
- Chou R, Baisden J, Carragee EJ, Resnick DK, Shaffer WO, Loeser JD (mai 2009). „Surgery for low back pain: a review of the evidence for an American Pain Society Clinical Practice Guideline”. Spine. 34 (10): 1094–109. doi:10.1097/BRS.0b013e3181a105fc. PMID 19363455.
- Lee, CS (martie 2011). „Fusion rates of instrumented lumbar spinal arthrodesis according to surgical approach: a systematic review of randomized trials”. Clinics in orthopedic surgery. 3 (1): 39–47. doi:10.4055/cios.2011.3.1.39. PMID 21369477.
- Walker, BF (). „A Cochrane review of combined chiropractic interventions for low-back pain”. Spine. 36 (3): 230–42. doi:10.1097/BRS.0b013e318202ac73. PMID 21248591.
- Dagenais, S; Gay, RE; Tricco, AC; Freeman, MD; Mayer, JM (). „NASS Contemporary Concepts in Spine Care: spinal manipulation therapy for acute low back pain”. The spine journal : official journal of the North American Spine Society. 10 (10): 918–40. doi:10.1016/j.spinee.2010.07.389. PMID 20869008.
- Rubinstein SM, van Middelkoop M, Assendelft WJ, de Boer MR, van Tulder MW (). Rubinstein, Sidney M, ed. „Spinal manipulative therapy for chronic low-back pain”. Cochrane Database of Systematic Reviews (2): CD008112. doi:10.1002/14651858.CD008112.pub2. PMID 21328304.
- Rubinstein, SM (). „Spinal manipulative therapy for acute low-back pain”. Cochrane Database of Systematic Reviews. 9: CD008880. doi:10.1002/14651858.CD008880.pub2. PMID 22972127.
- Dagenais, S; Mayer, J; Wooley, J; Haldeman, S (). „Evidence-informed management of chronic low back pain with medicine-assisted manipulation”. The Spine Journal. 8 (1): 142–9. doi:10.1016/j.spinee.2007.09.010. PMID 18164462.
- Furlan AD, Yazdi F, Tsertsvadze A, Gross A, Van Tulder M, Santaguida L, Gagnier J, Ammendolia C, Dryden T, Doucette S, Skidmore B, Daniel R, Ostermann T, Tsouros S (). „A systematic review and meta-analysis of efficacy, cost-effectiveness, and safety of selected complementary and alternative medicine for neck and low-back pain”. Evidence-based complementary and alternative medicine. 2012: 953139. doi:10.1155/2012/953139. PMID 22203884.
- Lin CW, Haas M, Maher CG, Machado LA, van Tulder MW (iulie 2011). „Cost-effectiveness of guideline-endorsed treatments for low back pain: a systematic review”. Eur Spine J. 20 (7): 1024–38. doi:10.1007/s00586-010-1676-3. PMC 3176706
. PMID 21229367. - Furlan AD, Imamura M, Dryden T, Irvin E (). „Massage for low-back pain”. Cochrane Database of Systematic Reviews (4): CD001929. doi:10.1002/14651858.CD001929.pub2. PMID 18843627.
- Urrútia G, Burton K, Morral A, Bonfill X, Zanoli G (martie 2005). „Neuroreflexotherapy for nonspecific low back pain: a systematic review”. Spine. 30 (6): E148–53. PMID 15770167.
- Henschke N, Ostelo RW, van Tulder MW; et al. (). „Behavioural treatment for chronic low-back pain”. Cochrane Database of Systematic Reviews (7): CD002014. doi:10.1002/14651858.CD002014.pub3. PMID 20614428.
- Cramer H, Haller H, Lauche R, Dobos G (). „Mindfulness-based stress reduction for low back pain. A systematic review”. BMC Complement Altern Med. 12: 162. doi:10.1186/1472-6882-12-162. PMC 3520871
. PMID 23009599. - Menezes Costa Lda, C (). „The prognosis of acute and persistent low-back pain: a meta-analysis”. CMAJ : Canadian Medical Association journal = journal de l'Association medicale canadienne. 184 (11): E613–24. doi:10.1503/cmaj.111271. PMC 3414626
. PMID 22586331. - Chou, R; Shekelle, P (). „Will this patient develop persistent disabling low back pain?”. JAMA: the Journal of the American Medical Association. 303 (13): 1295–302. doi:10.1001/jama.2010.344. PMID 20371789.
- Vinod Malhotra; Yao, Fun-Sun F.; Fontes, Manuel da Costa (). Yao and Artusio's Anesthesiology: Problem-Oriented Patient Management. Hagerstwon, MD: Lippincott Williams & Wilkins. pp. Chapter 49. ISBN 1-4511-0265-8.
- Vos, T (). „Years lived with disability (YLDs) for 1160 sequelae of 289 diseases and injuries 1990–2010: a systematic analysis for the Global Burden of Disease Study 2010”. Lancet. 380 (9859): 2163–96. doi:10.1016/S0140-6736(12)61729-2. PMID 23245607.
- Cunningham, F (). Williams Obstetrics (ed. 23). McGraw Hill Professional. p. 210. ISBN 9780071702850.
- Shiri R, Karppinen J, Leino-Arjas P, Solovieva S, Viikari-Juntura E (ianuarie 2010). „The association between smoking and low back pain: a meta-analysis”. Am. J. Med. 123 (1): 87.e7–35. doi:10.1016/j.amjmed.2009.05.028. PMID 20102998.
- Maharty DC (septembrie 2012). „The history of lower back pain: a look "back" through the centuries”. Prim. Care. 39 (3): 463–70. doi:10.1016/j.pop.2012.06.002. PMID 22958555.
- Lutz GK, Butzlaff M, Schultz-Venrath U (august 2003). „Looking back on back pain: trial and error of diagnoses in the 20th century”. Spine. 28 (16): 1899–905. doi:10.1097/01.BRS.0000083365.41261.CF. PMID 12923482.
- Manchikanti L, Singh V, Datta S, Cohen SP, Hirsch JA, ASIPP (). „Comprehensive review of epidemiology, scope, and impact of spinal pain”. Pain Physician. 12 (4): E35–70. PMID 19668291.




