Colecistită
Colecistita este o inflamație a vezicii biliare. In marea majoritate a cazurilor, colecistita este asociată calculilor biliari, mai precis atunci când un calcul obstrucționează canalul cistic, ducând adesea la infectarea acestuia (cu bacterii din duoden), iar regiunea din amonte se inflamează. Netratată, se poate ajunge la gangrenarea vezicii, urmată de peritonită. Alte complicații sunt colangita, cronicizarea infecției, abcese peri-veziculare sau sindromul Mirizzi.
| Colecistită | |
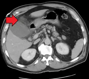
![]() Acute cholecystitis as seen on CT. Note the fat stranding around the enlarged gallbladder. | |
| Specialitate | General surgery, gastroenterology |
|---|---|
| Simptome | inflamație[1] |
| Tratament | Gallbladder removal surgery, gallbladder drainage[2][3] |
| Clasificare și resurse externe | |
| ICD-11 | |
| ICD-9-CM | 575.10[4][5] 575.11[5] |
| OMIM | 600803 |
| DiseasesDB | 2520 |
| MedlinePlus | 000264 |
| MeSH ID | D002764[5] |
Criza acută este intensificată de obicei de o masă bogată în grăsimi, caracterizandu-se prin instalarea rapidă a unei dureri intense, constante, localizată in epigastru sau hipocondrul drept, si care cedează treptat in 12 ore.
Simptome
- Crize dureroase în hipocondrul drept;
- Greață, vărsături;
- Stare febrilă;
- Sensibilitate la palpare în hipocondrul drept;
- In 15% din cazuri, vezica poate fi palpată;
- In 25% din cazuri apare icter
Tratament
- Tratament cu antibiotice;
- Colecistectomie laparoscopică (extirparea vezicii biliare);
- Colecistostomie percutanată (aspiratia vezicii biliare).
Note
- Disease Ontology, accesat în
- Disease Ontology, accesat în
- Monarch Disease Ontology release 2018-06-29[*] Verificați valoarea
|titlelink=(ajutor);
Bibliografie:
- Diagnostic si tratament in practica medicala, LM Tierney
This article is issued from Wikipedia. The text is licensed under Creative Commons - Attribution - Sharealike. Additional terms may apply for the media files.
