Abces cerebral
Abcesul cerebral (intecranian) este un abces cauzat de inflamație și colecție de materiale purulente sau infectate, provenite din localitate (infecție la ureche, abces dentar, infecție a sinusurilor paranazale, infecția celulelor de aer mastoide ale osului temporal, abces epidural) sau la surse infecțioase (plămâni, inimă, rinichi etc.) de la distanță, în țesutul creierului. Infecția poate fi indusă și printr-o fractură de craniu în urma unui traumatism al capului sau a procedurilor chirurgicale. Abcesul cerebral este de obicei asociat cu boli cardiace congenitale la copiii mici. Poate apărea la orice vârstă, dar este cel mai frecvent în a treia decadă a vieții.
![]() |
ATENȚIE !
Vă rugăm să aveți în vedere faptul că Wikipedia nu prezintă nicio garanție în privința corectitudinii datelor pe care le conține.
Cu toate că depunem mult efort în a îmbunătăți informațiile din articole, acestea nu pot înlocui un sfat medical de specialitate. |
| Abces cerebral | |
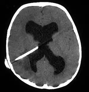
![]() Scanare tomografică a creierului, unde se poate observa abcesul cerebral la un pacient cu un dren ventricular.[1] | |
| Specialitate | Neurologie |
|---|---|
| Cauze | bacterie |
| Clasificare și resurse externe | |
| ICD-9 | 324.0 |
| ICD-10 | G06 |
| ICD-11 | |
| DiseasesDB | 6880 |
| MedlinePlus | 000783 |
| eMedicine | neuro/176 Brain Abscess |
| MeSH ID | D001922 |
Semne și simptome
În timp ce sunt clasice, febra, cefaleea și problemele neurologice, apar doar la 20% dintre persoanele cu abces cerebral.[2]
Febra triadă, cefalee și celebre descoperiri neurologice focale indică în mare parte abcesul creierului. Aceste simptome sunt cauzate de o combinație de creștere a presiunii intracraniene datorată leziunii care ocupă spațiul (dureri de cap, vomă, confuzie, comă), infecție (febră, oboseală etc.) și leziuni ale țesutului nervos focal (paraplegie, afazie etc.).
Cele mai frecvente simptome de prezentare sunt dureri de cap, somnolență, confuzie, convulsii, hemipareză sau dificultăți de vorbire, împreună cu febră cu un progres rapid. Durerea de cap este în mod caracteristic mai gravă noaptea și dimineața, deoarece presiunea intracraniană crește în mod natural când se află în poziția supină. Această creștere stimulează în mod similar centrul vomei medular și zona posterioară, provocând vărsături dimineața.
Alte simptome și descoperiri depind de locația specifică a abcesului creierului. De exemplu, abcesul cerebral poate provoca alte disconforturi din cauza îngustării trunchiului cerebral și a hidrocefaliei. Examinările neurologice pot dezvălui un gât rigid în cazuri ocazionale (care sugerează în mod eronat meningită).
Diagnostic
Diagnosticul este stabilit printr-o examinare tomografică computerizată (CT) (cu contrast) .În faza inițială a inflamației (care se numește cerebrită), leziunea imatură nu are o capsulă și poate fi dificil să o deosebim de alte leziuni sau infarcte ale creierului care ocupă spațiul.În 4-5 zile inflamația și țesutul mortal concomitent al creierului sunt înconjurate cu o capsulă, ceea ce conferă leziunii celebrul aspect care leagă inelul la examen CT cu contrast (deoarece se aplică intravenos materialul de contrast nu poate trece prin capsulă, este colectat în jurul leziunii și arată ca un inel care înconjoară leziunea relativ întunecată. este în toate leziunile creierului care ocupă spațiul) deoarece eliminarea unei anumite porțiuni din lichidul cefalorahidian poate modifica balanța de presiune intracraniană concretă ces și determină deplasarea țesutului creierului prin structuri din craniu (hernie cerebrală).
O îmbunătățire a inelului poate fi observată și în hemoragia cerebrală (sângerare) și anumite tumori cerebrale. Cu toate acestea, în timpul progresiei rapide a febrei, semne ale sistemului nervos local (hemipareză, afazie, etc.) și semne ale creșterii presiunii intracraniene, cel mai probabil diagnosticul ar trebui să fie un abces cerebral.
Tratament
Tratamentele includ scăderea presiunii intracraniene și începerea antibioticelor intravenoase (identificând în același timp agentul patogen în principal prin studii de cultură a sângelui).
Terapia cu oxigen hiperbaric (HBO2 sau HBOT) este desemnată terapia primară și secundară și poate asigura patru funcții principale. În primul rând, HBOT reduce presiunea intracraniană. În al doilea rând, presiunea parțială ridicată în oxigen acționează ca un fungicid, inhibând astfel bacteriile anaerobe comune și bacteriile anaerobe funcționale în abcesele creierului. În al treilea rând, HBOT poate optimiza funcția imunitară, îmbunătățind astfel mecanismul de apărare al gazdei. În al patrulea rând, sa constatat că HBOT este benefic atunci când abcesele creierului și osteomielita craniului apar simultan.
Funcțiile secundare ale HBOT includ creșterea producției de celule stem și reglarea VEGF, care ajută procesul de vindecare și recuperare.
Drenarea chirurgicală a abceselor rămâne una dintre metodele de management standard pentru abcese cerebrale de origini bacteriene. Localizarea și tratarea focalizării primare este, de asemenea, critică, la fel și eliminarea oricăror obiecte străine (resturi de os, praf, gloanțe etc.).
Există puține excepții de la această regulă: meningita Haemophilus influenzae este de obicei asociată cu efuziunea subdurală, care este confundată cu efuziunea subdurală. Aceste efuzii pot fi rezolvate cu antibiotice, fără intervenții chirurgicale. Tuberculoza poate produce abcese cerebrale care arată la fel ca abcese de origini bacteriene ce pot fi convenționale pe imagistica CT. În mod obișnuit, drenarea sau aspirația chirurgicală trebuie efectuate pentru a identifica M. tuberculosis, dar, odată făcut un diagnostic, nu este necesară o intervenție chirurgicală suplimentară.
Aspirația stereotactică ghidată de CT poate fi, de asemenea, utilizată pentru a trata abcese cerebrale. Astăzi, imagini preoperatorii, intervenții clinice și biochimice postoperatorii pot fi utilizate pentru a gestiona abcese cerebrale, ale căror origini pot fi identificate și predate unui neurochirurg.[3]
Referințe
- Jamjoom AA, Waliuddin AR, Jamjoom AB (). „Brain abscess formation as a CSF shunt complication: a case report”. Cases J. 2 (1): 110. doi:10.1186/1757-1626-2-110. PMC 2639569
. PMID 19183497. - Brouwer, MC; Coutinho, JM; van de Beek, D (). „Clinical characteristics and outcome of brain abscess: systematic review and meta-analysis”. Neurology. 82 (9): 806–13. PMID 24477107.
- Visagan R, Ellis H (). „Joseph Buford Pennybacker, C.B.E., M.D., F.R.C.S. (1907-1983): Continuing Sir Hugh Cairns' Oxford Legacy and Pioneer of the Modern Management of Cerebral Abscesses”. World Neurosurg. 104: 339–345. doi:10.1016/j.wneu.2017.01.113. PMID 28185969.
Legături externe
| Clasificare | |
|---|---|
| Resurse externe |

