Endometrial stromal nodule

Endometrial Stromal Nodule

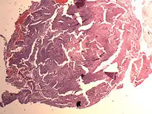
An endometrial stromal nodule is a noninfiltrative, circumscribed proliferation of endometrial stromal cells and is a benign subtype of endometrial stromal tumor. The appearance of the cells is identical to normal endometrial stromal cells. This can only be differentiated from low-grade endometrial stromal sarcoma by confirming lack of infiltration.

The differential includes cellular leiomyoma. Diagnosis may be aided by immunostaining; endometrial stromal nodules are positive for CD10; leiomyomas are positive for caldesmon and desmin (and sometimes CD10).


References


    This article is issued from Wikipedia. The text is licensed under Creative Commons - Attribution - Sharealike. Additional terms may apply for the media files.