- an interactive version of this book is available here
- back to Table of Contents - The Zebrafish in Toxicology
Reproduction - Ovary
Normal Histology
oocyte maturation
|
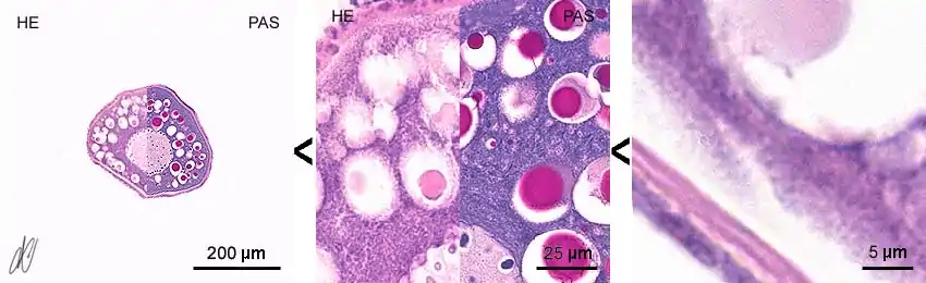
Various systems have been proposed to stage oocyte growth. Such classifications take into account morphological features of the growing oocyte and its nucleus, oocyte size, and granulosa cell layer properties. The staging presented here is mainly descriptive, and is based on Lambert 1970 and Selman 1993. Classical staging terminology is given for comparison. references
oogonium
primary oocytes - stage 1; first meiotic division - zygotene stage
primary oocytes - stage 1; first meiotic division - pachytene stage
primary oocytes - stage 1; first meiotic division - pachytene stage
primary oocytes - stage 5
|





















