< Radiation Oncology < CNS
|
Epidemiology
- Most common benign brain tumor
- Approximately 95%
- Represents 20% of primary intracranial neoplasms.
- Occur mostly in age group 40-70 yrs old, increasing in incidence with age, and peaking at 70.
- F>M 2:1
Risk Factors
- Prior radiation therapy
- Treatment of tinea capitis with radiation is classic scenario of radiation induced meningioma.
- PCI increases incidence of meningioma by 10X baseline rate.
- Median interval between radiation treatment and development of meningioma is ~20 yrs.
- Type II Neurofibromatosis
- Hormone replacement therapy in women
- Mayo Clinic; 2008 (1993-2003) PMID 18182668 -- "Is there an association between meningioma and hormone replacement therapy?" (Blitshteyn S, J Clin Oncol. 2008 Jan 10;26(2):279-82.)
- Retrospective. 1390 women with meningioma, 11% current/past HRT users
- Outcome: OR for HRT use and meningioma 2.2 (SS)
- Conclusion: Positive association between HRT use and diagnosis for meningioma
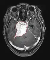
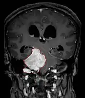
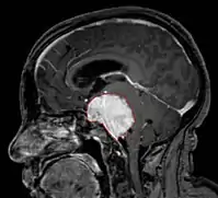
Imaging
- Benign Meningioma on MRI



- CT
- Well-defined extra-axial mass that displaces normal brain. Smooth in contour, sometimes calcified
- About 60% hyperdense with normal brain without contrast
- About 70% brightly and homogenously enhance with contrast (less frequent in malignant or cystic meningiomas)
- MRI
- Preferred imaging because it can show dural origin
- Dural tail sign seen in about two-thirds: characteristic marginal thickening that tapers peripherally along the dura
- Isointense on T1, hyperintense (usually homogeneously) on T2, strong enhancement with IV contrast
- PET
- May have a role in predicting aggressiveness of meningioma: more aggressive tumors appear to have significantly higher mean rate of glucose utilization
WHO Classification
- Benign (Grade I) - (90%) - meningothelial, fibrous, transitional, psammomatous, angioblastic (most aggressive)
- Atypical (Grade II) - (7%) - choroid, clear cell, atypical
- Anaplastic/Malignant (Grade III) - (2%) - papillary, rhabdoid, anaplastic
- Korea; 2007 (1986-2004) PMID 17766430 -- "Atypical and anaplastic meningiomas: prognostic implication of clinicopathological features." (Yang SY, J Neurol Neurosurg Psychiatry. 2007 Aug 31)
- Retrospective. 74 patients with high grade (33 atypical, 41 anaplastic). Reclassified according to 2000 WHO. Mean F/U 4.8 years
- Outcome: OS atypical 11.9 years vs. anaplastic 3.3 years; RFS atypical 11.5 years vs. anaplastic 2.7 years
- If atypical, brain invasion and RT didn't improve survival; if anaplastic, prognostic factors were brain invasion, adjuvant RT, p53 overexpression, extent of resection
- Conclusion: 2000 WHO classification better than previous criteria
Treatment Overview
- Treatment can range from conservative management to definitive surgery, adjuvant radiation or definitive radiation/radiosurgery.
- Patients with small asymptomatic meningiomas found incidentally can be observed until they grow or become symptomatic.
- Indications for adjuvant radiation therapy: incomplete resection and high grade tumor. Tx to dose of 54 Gy for Grade I and 60 Gy for Grade II-III.
- Cavernous sinus meningioma represent a scenario where SRS is particularly useful given the potential morbidity of surgical resection in that region.
- UpToDate recommendations (version 15.2, 4/2007)
- Small, asymptomatic meningioma: careful observation with re-imaging in 3-6 months
- If no growth at first F/U, routine imaging q1 year
- If tumor growth, active treatment
- Young patients with asymptomatic meningioma: consider surgery
- Symptomatic, large, infiltrative, or edematous lesions should be treated with surgery and/or RT
- If anatomically accessible: attempt surgical resection
- Simpson Grade I: no adjuvant therapy
- Simpson Grade II-III and benign: no adjuvant therapy
- Simpson Grade II-III and atypical/malignant: adjuvant RT
- Simpson Grade IV: adjuvant RT
- For patients who are unresectable, not surgical candidates, or refuse surgery, offer primary RT
- Small, asymptomatic meningioma: careful observation with re-imaging in 3-6 months
Observation
- Majority (~2/3) of asymptomatic, incidentally found meningiomas are stable on imaging. If they progress, the rate of growth tends to be 2-4 mm per year and tumor doubling time is on average 20 years
- Calcified and hypointense on T2 meningiomas appear less likely to progress; elderly patients appear to have slower growth rates
- Reasonable to consider observation for asymptomatic meningiomas, particularly in elderly patients or patients with skull-base (high operative risk) tumors. If so, MRI at 3 months, then 6 months later, then annually is considered reasonable
- For younger patients and patients with non-calcified tumors, consider treatment due to higher expected growth rates
- Tel Aviv; 2004 (Israel)(1989-1999) PMID 15452322 -- "Natural history of conservatively treated meningiomas." (Herscovici Z, Neurology. 2004 Sep 28;63(6):1133-4.)
- Retrospective. 43 patients, 51 meningiomas
- Outcome: 63% no growth, 37% growth (mean growth rate 4 mm / year)
- Predictors: younger age, sphenoid ridge location, non calcified, hyperintense on MRI T2 predicted for growth
- Hannover; 2003 PMID 12823874 -- "The natural history of incidental meningiomas." (Nakamura M, Neurosurgery. 2003 Jul;53(1):62-70; discussion 70-1.)
- Retrospective. 47 asymptomatic patients reviewed. 41 (87%) managed conservatively, 6 surgery
- Outcome: volumetric growth mean 0.8 cm3 / year, 66% growth rates <1 cm3 / year; tumor doubling mean 22 years (1.3 - 143 years). Higher growth rates in younger patients. No correlation between initial size and doubling time. Less likely to progress if calcified
- Conclusion: Majority of incidental meningiomas minimal growth; can be managed conservatively
- Mayo; 1998 PMID 9855530 -- "The natural history of asymptomatic meningiomas in Olmsted County, Minnesota." (Go RS, Neurology. 1998 Dec;51(6):1718-20.)
- Retrospective. 35 asymptomatic patients found incidentally. Mean F/U 6.2 years
- Outcome: 88% stable, 12% progressed, 3% (1 patient) developed symptoms. Less likely to progress if calcified
- Northwestern; 1997 PMID 9153494 -- "Meningiomas: the decision not to operate." (Braunstein JB, Neurology. 1997 May;48(5):1459-62.)
- Retrospective. 12 patients managed conservatively in 100 consecutive meningiomas, either with no symptoms or high operative risk. Mean F/U 8.8 years
- Outcome: growth in 1/12 patients
- Illinois; 1995 PMID 7616265 -- "The natural history and growth rate of asymptomatic meningiomas: a review of 60 patients." (Olivero WC, J Neurosurg. 1995 Aug;83(2):222-4.)
- Retrospective. 60 patients diagnosed with asymptomatic meningioma. 45 patietns follow up scans at 3 months, 9 months, then q 1 year. Average F/U 2.7 years (0.5-15).
- Outcome: 67% no growth (average F/U 2.4 years, max 6 years); 22% tumor growth (2.4 mm per year, range 2 mm - 1 cm)
- Conclusion: Need for close follow-up to rule out rapidly enlarging tumors
Surgical Management
- Frequently considered for symptomatic patients, younger patients, and patients with expanding/infiltrating tumors
- Complications: range 2-30% depending on location and type
- Mortality: range 1-14%; worse in elderly
- Resectability plays an important role:
- Completeness of resection - Simpson Grade PMID 13406590 - predicts for likelihood of local recurrence
- Gross total resection (Grade I-III) in ~80%, leading to 10-year PFS of ~80%
- Subtotal resection typically in cavernous sinus, petroclival region, posterior superior sagittal sinus, and optic nerve sheath tumors; have 4.2x relative excess death risk compared to complete resection
| Simpson Grade | Completeness of Resection | 10-year Recurrence |
|---|---|---|
| Grade I | complete removal including resection of underlying bone and associated dura | 9% |
| Grade II | complete removal + coagulation of dural attachment | 19% |
| Grade III | complete removal w/o resection of dura or coagulation | 29% |
| Grade IV | subtotal resection | 40% |
- Grade is also important: 15-year OS benign 80% vs. atypical/anaplastic 51%, risk of death 4.6x
- Helsinki; 1992 (Finland)(1953-1980) PMID 1641106 -- "Factors affecting operative and excess long-term mortality in 935 patients with intracranial meningioma." (Kallio M, Neurosurgery. 1992 Jul;31(1):2-12.)
- Retrospective. 935 patients treated with surgery.
- Outcome: 1-year DSS 91%, 15-year DSS 78%; subtotal resection 4.2x risk of death; malignant histology 4.6x risk of death
Adjuvant Radiation
- Germany (1985-2009) -- Atypical and malignant meningiomas
- 62 pts w/ atypical and 23 pts w/ malignant meningiomas, s/p RT (60% after surgical resection, 19% at disease progression, 8% as primary treatment). Average dose 57.6 Gy in 1.8-3 Gy fx.
- 2012 PMID 22137023 -- "Long-term outcome after radiotherapy in patients with atypical and malignant meningiomas--clinical results in 85 patients treated in a single institution leading to optimized guidelines for early radiation therapy." (Adeberg S, Int J Radiat Oncol Biol Phys. 2012 Jul 1;83(3):859-64.)
- 5-yr OS: 81% atypical and 53% malignant. PFS: 95% and 50% (at 2 and 5 yrs) for atypical, and 63% and 13% for malignant.
- Conclusion: "RT resulted in improvement of preexisting clinical symptoms; outcome is comparable to other series reported in the literature."
- France (1999-2006) -- Atypical and malignant meningiomas
- 19 pts w/ atypical and 5 pts w/ malignant meningiomas, s/p RT. Treatment at Centre de Protontherapie d'Orsay (CPO). Median total RT dose 68 CGE (34 Gy photons + 34 CGE protons).
- 2009 PMID 19203844 -- "Combined proton and photon conformal radiotherapy for intracranial atypical and malignant meningioma." (Boskos C, Int J Radiat Oncol Biol Phys. 2009 Oct 1;75(2):399-406.)
- Survival associated with dose > 60 Gy.
- Conclusion: "Postoperative combination of conformal radiotherapy with protons and photons for atypical and malignant meningiomas is a well-tolerated treatment producing long-term tumor stabilization."
- UC San Francisco
- Atypical meningiomas; 2009 (1993-2004) PMID 19145156 -- "Long-term recurrence rates of atypical meningiomas after gross total resection with or without postoperative adjuvant radiation." (Aghi MK, Neurosurgery. 2009 Jan;64(1):56-60; discussion 60.)
- Retrospective. 108 atypical meningioma, gross total resection. Adjuvant radiation in 8 patients.
- Outcome: recurrence rate 28%, mean time to recurrence 3 years. No recurrence with the 8 patients who received adjuvant RT. Patients with recurrences underwent RT, and average 2.7 craniotomies/patient. Tumor-related mortality after recurrence 30%
- Conclusion: High recurrence rate for atypical meningiomas after GTR without adjuvant radiation; causing numerous reoperations and shortened survival
- Subtotal resection; 1994 (1967-90) PMID 8283256 -- "Postoperative irradiation for subtotally resected meningiomas. A retrospective analysis of 140 patients treated from 1967 to 1990," (Goldsmith BJ, J Neurosurg. 1994 Feb;80(2):195-201.)
- Retrospective. 140 pts (117 benign, 23 malignant) treated with adjuvant RT. RT median dose 54 Gy, benign margin 1-2cm, malignant margin 1-3cm. Median FU 3.3 years
- Outcome: 5-year OS benign 85% vs. malignant 58% (SS); 10-year benign PFS and OS 77% (no 10 year outcomes for malignant)
- RT dose: 10-year PFS <52 Gy 65% vs. >52 Gy 93% (SS); malignant 5-year PFS <53 Gy 17% vs. >53 Gy 63% (SS)
- Toxicity: no secondary CNS tumors; 4% blindness, 1% (2 patients) cerebral necrosis, 1 leading to death
- Conclusion: RT for subtotally resected meningioma effective and safe. Recommend 54 Gy for benign and 60 Gy for malignant meningioma
- Subtotal resection; 1987 (1968-78) PMID 3587542 -- "Radiation therapy in the treatment of partially resected meningiomas," (Barbaro NM, Neurosurgery. 1987 Apr;20(4):525-8.
- Retrospective. 51 pts w/ GTR and no xrt, 30 pts w/ STR and no xrt, 54 pts w/ STR + xrt
- Recurrence rate: GTR 4%, STR alone 60%, STR + adjuvant RT 32%
- Conclusion: adjuvant RT decreases recurrence rate
- Atypical meningiomas; 2009 (1993-2004) PMID 19145156 -- "Long-term recurrence rates of atypical meningiomas after gross total resection with or without postoperative adjuvant radiation." (Aghi MK, Neurosurgery. 2009 Jan;64(1):56-60; discussion 60.)
- Gainesville (1964-85) PMID 3403313 -- Taylor WB et al. "The meningioma controversy: postoperative radiation therapy," Int J Radiat Oncol Biol Phys. 1988 Aug;15(2):299-304.
- 132 pts w/ benign intracranial meningioma w/ minimum 2 yr FU.
- Local control at 10 yrs: STR alone (18%), STR + xrt (82%), GRT (77%)
- Princess Margaret (1966-90) PMID 8598358 -- Milosevic MF et al. "Radiotherapy for atypical or malignant intracranial meningioma," Int J Radiat Oncol Biol Phys. 1996 Mar 1;34(4):817-22.
- 59 pts w/ atypical or malignant meningioma. 17 had GTR, 35 had STR, others had bx or other. All pts received xrt (median dose 50 Gy).
- 5yr OS was 28%, 5yr CSS was 34%
- Age < 58, xrt dose > 50 Gy were independent predictors of higher CSS on multivariate analysis.
- Cleveland Clinic (1979-95) PMID 10656373 -- Goyal LK et al. "Local control and overall survival in atypical meningioma: a retrospective study," Int J Radiat Oncol Biol Phys. 2000 Jan 1;46(1):57-61.
- 22 atypical meningioma, 8 received xrt in the range of 54 Gy (35-59.4), 15 had GTR
- Pts w/ GTR had 5 and 10 yr OS of 87% and 87%; Pts w/ STR had 5 and 10 yr OS of 100% and 75%
- MGH (1981-96) PMID 11121635 -- Wenkel E et al. "Benign meningioma: partially resected, biopsied, and recurrent intracranial tumors treated with combined proton and photon radiotherapy," Int J Radiat Oncol Biol Phys. 2000 Dec 1;48(5):1363-70.
- 46 pts w/ subtotally resected, bx'd, or recurrent meningioma tx'd w/ combined photon/proton xrt (9 w/ STR, 8 w/ bx only, 29 w/ recurrence after surg). Median dose 59 CGE.
- 5 yr OS was 93% and 10 yr OS was 77%
- 8 pts had severe long term toxicity and 1 pt died of brainstem necrosis. Toxicity appeared dose related.
Stereotactic Radiosurgery
- Prague; 2007 (1992-1999) PMID 17695387 -- "Gamma Knife surgery for benign meningioma." (Kollova A, J Neurosurg. 2007 Aug;107(2):325-36.)
- Retrospective. 368 patients with 400 meningiomas. Median margin dose 12.5 Gy at 50% isodose (6.5-24 Gy). Median F/U 5 years
- 5-year outcome: decreased volume 70%, stable 28%, increased 2%; actuarial local control 98%; worse in men and when RT dose <12 Gy
- Toxicity: temporary 10%, permanent 6%; perilesional edema 15%, worse when dose >16 Gy
- Conclusion: SRS safe and effective, therapeutic window 12-16 Gy to 50% isodose at tumor margin
- University of Maryland, 2005 (1992-2000) PMID 15590183 -- DiBiase SJ et al. "Factors predicting local tumor control after gamma knife stereotactic radiosurgery for benign intracranial meningiomas," Int J Radiat Oncol Biol Phys. 2004 Dec 1;60(5):1515-9.
- 137 pts w/ benign meningioma; 62% tx'd definitively, while remaining had previous resection. Median 14 Gy to 50% isodose.
- Prognostic factors associated w/ worse prognosis were conformity index < 1.4, male sex, and size >10 cc.
- Mayo Clinic, 2003 (1990-97) PMID 12605979 -- Pollock BE et al. "Stereotactic radiosurgery provides equivalent tumor control to Simpson Grade 1 resection for patients with small- to medium-size meningiomas," Int J Radiat Oncol Biol Phys. 2003 Mar 15;55(4):1000-5.
- 198 adult meningioma <3.5 cm tx'd w/ either surgery (136) or SRS (62); for SRS, mean margin dose of 17.7 Gy w/ mean max dose of 34.9 Gy.
- No statistically significant difference b/w Simpson Grade I resections and SRS tx'd pts in terms of PFS (100% vs 96% respectively).
- Pittsburgh, 1999 (1987-92) PMID 10389879 -- "Long-term outcomes after meningioma radiosurgery: physician and patient perspectives," (Kondziolka D, J Neurosurg. 1999 Jul;91(1):44-50.)
- Retrospective. 99 consecutive pts w/ SRS (57% had prior resection, 5 received prio fx'd xrt). 89% skull base tumors. Median margin dose 16 Gy to 50% isodose (9-25 Gy)
- Outcome: decrease in 59% at 3 years, 69% at 5 years, 73% at 7 years and 88% at 9 years; local control 95%, progression related to prior resection and multiple meningiomas
- Toxicity: new or worsened symptoms 9%
- Patient survey satisfaction: 79% response rate, 96% considered it a "success"
Proton Therapy
- PSI; 2004 (1997-2002) PMID 15172139 -- "Spot-scanning proton radiation therapy for recurrent, residual or untreated intracranial meningiomas." (Weber DC, Radiother Oncol. 2004 Jun;71(3):251-8.)
- Retrospective. 16 patients (8 skull base). 13 patients adjuvant RT or salvage RT after surgical recurrence; 3 patients radical RT. Benign meningioma 52.2-56 CGE based on prognostic factors, atypical meningioma 64 CGE at 1.8-2.0 CGE/fx. Median F/U 2.8 years
- Outcome: 3-year LC 92%, DFS 92%, OS 93%. No deaths from recurrence.
- Toxicity: 3-year toxicity 24% (radiation induced optic neuropathy Grade 3 in 1 patient, retinopathy Grade 2 in 1 patient, symptomatic brain necrosis Grade 4 in 1 patient 7.2 months after treatment). No hypothalamic/pituitary dysfunction
- Conclusion: Spot-scanned PT effective; ophthalmologic toxicity dose-related
Special Sites
Cavernous Sinus Meningioma
- Verona, Italy, 2002 (1992-2002) PMID 12383360 -- Nicolato A et al. "Radiosurgical treatment of cavernous sinus meningiomas: experience with 122 treated patients," Neurosurgery. 2002 Nov;51(5):1153-9; discussion 1159-61.
- 156 pts w/ cavernous sinus meningioma that were either inoperable, symptomatic, progressive. All tumors were <2cm but >2mm from optic pathways.
- 5yr PFS was 96.5%; regression in 80% if followed for >30 mo's, but only 43.5% if followed for <30 mo's. 1% permanent radiosurgical sequellae.
- Pittsburgh, 2002 PMID 12134934 -- Lee JY et al. "Stereotactic radiosurgery providing long-term tumor control of cavernous sinus meningiomas," J Neurosurg. 2002 Jul;97(1):65-72.
- 159 pts w/ cavernous sinus meningioma tx'd w/ SRS. 52% tx'd w/ definitive SRS, 48% tx'd after 1 or more attempts at resection. Median dose to tumor margin 13 Gy.
- 29% w/ improvement of neurologic status, 62% w/ stabilization of neuro status, 9% w/ worsening.
- Actuarial tumor control rate 93%.
- Marseille, France, 2000 (1992-1998) PMID 11143266 -- Roche PH et al. "Gamma knife radiosurgery in the management of cavernous sinus meningiomas," J Neurosurg. 2000 Dec;93 Suppl 3:68-73.
- 80 pts w/ cavernous sinus meningioma where gamma knife was used as definitive tx (50) or adjuvant tx for microsurgery (30)
- 5yr PFS 92.8%
- 15 of 54 pts w/ oculomotor deficit improved, 8 recovered, 1 worsened. 1 case of transient optic neuropathy reported.
Optic Nerve Sheath
- Brower; 2012 (1990-2006) (University of Florida) PMID 24674368 -- "Radiation therapy for optic nerve sheath meningioma." (Brower J, PRO. 2013 Volume 3, Issue 3 , Pages 223-228)
- Retrospective. 15 patients. Median age 52 years. RT for gross residual tumor, 1/3 underwent radiation therapy for tumors that had recurred within 1 year of surgery, minimum f/u 5 years, median 12yrs, Target definition is GTV= Visible tumor on MRI scan, CTV= GTV+5mm along length of ON, PTV= CTV+ 2 to 5mm magin
- Outcome: No patient experienced tumor progression, LC/RC/RFF all 100%, vision status after radiation therapy: Stable 60%, Improved in 27%, Decreased 13%, Moderate retinopathy in 2 patients
- Conclusion: RT with 50.4Gy at 1.8Gy per treatment prevents tumor growth and vision deterioration
- Tubingen; 2006 (1981-2002) (Germany) PMID 16191463 -- "The role of surgery in meningiomas involving the optic nerve sheath." (Roser F, Clin Neurol Neurosurg. 2006 Jul;108(5):470-6.)
- Retrospective. 24 patients. Female 7:1 male, mean age 44 years. Surgery pterional craniotomy, intra/extradural subtotal excision, bony decompression
- Outcome: Low morbidity, preserved/improved vision in 50% patients. Long-term vision loss due to recurrence in 20%
- Conclusion: RT should be primary treatment option as it prolongs time to functional loss; surgery for intracranial extension, disfiguring proptosis, and rapid visual deterioration
This article is issued from Wikibooks. The text is licensed under Creative Commons - Attribution - Sharealike. Additional terms may apply for the media files.