Basics
Learn More
See, Play and Learn
Research
Resources
For You
Summary
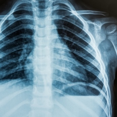
X-rays are a type of radiation called electromagnetic waves. X-ray imaging creates pictures of the inside of your body. The images show the parts of your body in different shades of black and white. This is because different tissues absorb different amounts of radiation. Calcium in bones absorbs x-rays the most, so bones look white. Fat and other soft tissues absorb less and look gray. Air absorbs the least, so lungs look black.
The most familiar use of x-rays is checking for fractures (broken bones), but x-rays are also used in other ways. For example, chest x-rays can spot pneumonia. Mammograms use x-rays to look for breast cancer.
When you have an x-ray, you may wear a lead apron to protect certain parts of your body. The amount of radiation you get from an x-ray is small. For example, a chest x-ray gives out a radiation dose similar to the amount of radiation you're naturally exposed to from the environment over 10 days.
Related Issues
-
Contrast Materials
(American College of Radiology; Radiological Society of North America)
Also in Spanish
- How to Read Your Radiology Report (American College of Radiology; Radiological Society of North America) Also in Spanish
- Products for Security Screening of People (Food and Drug Administration)
- Radiation Dose from X-Ray and CT Exams (American College of Radiology; Radiological Society of North America) Also in Spanish
- Tracing the X-Ray Trail (American Society of Radiologic Technologists) - PDF - In English and Spanish
Specifics
- Abdominal X-Ray (American College of Radiology; Radiological Society of North America) Also in Spanish
-
Bone Density Scan
(National Library of Medicine)
Also in Spanish
-
Bone X-Ray
(American College of Radiology; Radiological Society of North America)
Also in Spanish
-
Catheter Angiography
(American College of Radiology; Radiological Society of North America)
Also in Spanish
-
Chest X-Ray (Radiography)
(American College of Radiology; Radiological Society of North America)
Also in Spanish
- Cystogram (American Society of Radiologic Technologists) - PDF - In English and Spanish
-
Direct Arthrography
(American College of Radiology; Radiological Society of North America)
Also in Spanish
- Discography (Discogram) (American College of Radiology; Radiological Society of North America) Also in Spanish
-
Fluoroscopy
(National Library of Medicine)
Also in Spanish
-
Intravenous Pyelogram (IVP)
(National Library of Medicine)
Also in Spanish
- Lower Extremity Radiography (American Society of Radiologic Technologists) - PDF
-
Lower GI Series (Barium Enema)
(National Institute of Diabetes and Digestive and Kidney Diseases)
Also in Spanish
-
Myelography
(National Library of Medicine)
Also in Spanish
- Panoramic Dental X-Ray (American College of Radiology; Radiological Society of North America) Also in Spanish
- Radiography of the Paranasal Sinuses (American Society of Radiologic Technologists) - PDF - In English and Spanish
- Skull Radiography (American Society of Radiologic Technologists) - PDF - In English and Spanish
- Upper Extremity Radiography (American Society of Radiologic Technologists) - PDF - In English and Spanish
-
Upper GI Series
(National Institute of Diabetes and Digestive and Kidney Diseases)
Also in Spanish
- Venography (American College of Radiology; Radiological Society of North America) Also in Spanish
-
Virtual Colonoscopy
(National Institute of Diabetes and Digestive and Kidney Diseases)
Also in Spanish
Videos and Tutorials
-
Chest X-Ray Explained
(American College of Radiology; Radiological Society of North America)
Journal Articles References and abstracts from MEDLINE/PubMed (National Library of Medicine)
Reference Desk
- RadiologyInfo: Glossary of Terms (American College of Radiology; Radiological Society of North America) Also in Spanish
Find an Expert
- American College of Radiology Accredited Facility Search (American College of Radiology)
- Food and Drug Administration
- RadiologyInfo (American College of Radiology; Radiological Society of North America) Also in Spanish
Children
- Keeping Kids Still during Exams (American Society of Radiologic Technologists) - PDF - In English and Spanish
-
Pediatric VCUG (Voiding Cystourethrogram)
(American College of Radiology; Radiological Society of North America)
Also in Spanish
-
Radiation Safety for Children
(American College of Radiology; Radiological Society of North America)
Also in Spanish
- X-Ray Exam: Abdomen (For Parents) (Nemours Foundation) Also in Spanish
- X-Ray Exam: Ankle (Nemours Foundation) Also in Spanish
- X-Ray Exam: Bone Age Study (For Parents) (Nemours Foundation) Also in Spanish
- X-Ray Exam: Cervical Spine (For Parents) (Nemours Foundation) Also in Spanish
- X-Ray Exam: Chest (For Parents) (Nemours Foundation) Also in Spanish
- X-Ray Exam: Elbow (Nemours Foundation)
- X-Ray Exam: Finger (Nemours Foundation) Also in Spanish
- X-Ray Exam: Foot (Nemours Foundation)
- X-Ray Exam: Forearm (Nemours Foundation)
- X-Ray Exam: Hand (Nemours Foundation)
- X-Ray Exam: Hip (Nemours Foundation)
- X-Ray Exam: Knee (Nemours Foundation)
- X-Ray Exam: Leg Length (Nemours Foundation) Also in Spanish
- X-Ray Exam: Lower Leg (Tibia and Fibula) (Nemours Foundation) Also in Spanish
- X-Ray Exam: Neck (Nemours Foundation) Also in Spanish
- X-Ray Exam: Pelvis (For Parents) (Nemours Foundation)
- X-Ray Exam: Scoliosis (Nemours Foundation)
- X-Ray Exam: Upper Arm (Humerus) (Nemours Foundation)
- X-Ray Exam: Upper Gastrointestinal Tract (Upper GI) (Nemours Foundation)
- X-Ray Exam: Upper Leg (Femur) (Nemours Foundation)
Women
-
Galactography (Ductography)
(American College of Radiology; Radiological Society of North America)
Also in Spanish
-
Hysterosalpingography
(American College of Radiology; Radiological Society of North America)
Also in Spanish
-
Mammography: MedlinePlus Health Topic
(National Library of Medicine)
Also in Spanish
- X-Rays, Pregnancy and You (Food and Drug Administration)
Patient Handouts
- Barium enema (Medical Encyclopedia) Also in Spanish
- Bone x-ray (Medical Encyclopedia) Also in Spanish
- Chest x-ray (Medical Encyclopedia) Also in Spanish
- Enteroclysis (Medical Encyclopedia) Also in Spanish
- Lumbosacral spine x-ray (Medical Encyclopedia) Also in Spanish
- Pelvis x-ray (Medical Encyclopedia) Also in Spanish
- Skull x-ray (Medical Encyclopedia) Also in Spanish