
Overview
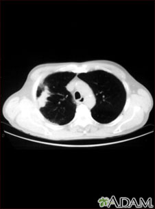
This CT scan shows a cross section of the lungs of a person with lung cancer. The two dark areas in the middle of the screen are the lungs. The light areas in the right lung (on the left of the screen) represent the cancer.
Review Date 6/17/2024
Updated by: Todd Gersten, MD, Hematology/Oncology, Florida Cancer Specialists & Research Institute, Wellington, FL. Review provided by VeriMed Healthcare Network. Also reviewed by David C. Dugdale, MD, Medical Director, Brenda Conaway, Editorial Director, and the A.D.A.M. Editorial team.