Skip navigation

Official websites use .gov
A .gov website belongs to an official government organization in the United States.

Secure .gov websites use HTTPS
A lock ( ) or https:// means you’ve safely connected to the .gov website. Share sensitive information only on official, secure websites.

URL of this page: //medlineplus.gov/ency/imagepages/1498.htm

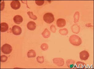
Thalassemia major

Thalassemia major

Overview

Thalassemia major is an inherited form of hemolytic anemia, characterized by red blood cell (hemoglobin) production abnormalities. This is the most severe form of anemia, and the oxygen depletion in the body becomes apparent within the first 6 months of life. If left untreated, death usually results within a few years. Note the small, pale (hypochromic), abnormally-shaped red blood cells associated with thalassemia major. The darker cells likely represent normal RBCs from a blood transfusion.

Review Date 3/31/2024

Updated by: Todd Gersten, MD, Hematology/Oncology, Florida Cancer Specialists & Research Institute, Wellington, FL. Review provided by VeriMed Healthcare Network. Also reviewed by David C. Dugdale, MD, Medical Director, Brenda Conaway, Editorial Director, and the A.D.A.M. Editorial team.