
Overview
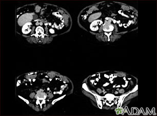
A CT scan series of the lower abdomen showing ovarian cancer that has metastasized (spread) to the peritoneum.
Review Date 10/10/2022
Updated by: Howard Goodman, MD, Gynecologic Oncology, Florida Cancer Specialists & Research Institute, West Palm Beach, FL. Review provided by VeriMed Healthcare Network. Also reviewed by David C. Dugdale, MD, Medical Director, Brenda Conaway, Editorial Director, and the A.D.A.M. Editorial team.