
Overview
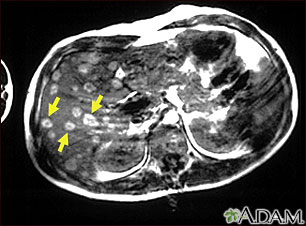
This upper abdominal MRI scan shows multiple tumors in the liver which have spread (metastasized) from a malignant melanoma in an arm or leg. Note the light circular areas throughout the liver (seen mostly on the left side of the screen).
Review Date 2/15/2024
Updated by: Elika Hoss, MD, Assistant Professor of Dermatology, Mayo Clinic, Scottsdale, AZ. Also reviewed by David C. Dugdale, MD, Medical Director, Brenda Conaway, Editorial Director, and the A.D.A.M. Editorial team.