
Overview
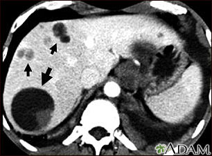
This upper abdominal CT scan shows multiple cysts in the liver, caused by dog tapeworm (echinococcus). Note the large circular cyst (seen on the left side of the screen) and multiple smaller cysts throughout the liver.
Review Date 7/16/2024
Updated by: Neil K. Kaneshiro, MD, MHA, Clinical Professor of Pediatrics, University of Washington School of Medicine, Seattle, WA. Also reviewed by David C. Dugdale, MD, Medical Director, Brenda Conaway, Editorial Director, and the A.D.A.M. Editorial team.