Skip navigation

Official websites use .gov
A .gov website belongs to an official government organization in the United States.

Secure .gov websites use HTTPS
A lock ( ) or https:// means you’ve safely connected to the .gov website. Share sensitive information only on official, secure websites.

URL of this page: //medlineplus.gov/ency/imagepages/1176.htm

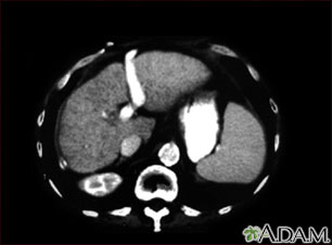
Liver cirrhosis - CT scan

Liver cirrhosis - CT scan

Overview

A CT scan of the upper abdomen showing cirrhosis of the liver.

Review Date 3/31/2024

Updated by: Jenifer K. Lehrer, MD, Department of Gastroenterology, Aria - Jefferson Health Torresdale, Jefferson Digestive Diseases Network, Philadelphia, PA. Review provided by VeriMed Healthcare Network. Also reviewed by David C. Dugdale, MD, Medical Director, Brenda Conaway, Editorial Director, and the A.D.A.M. Editorial team.