
Overview
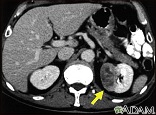
This CT scan of the abdomen shows a tumor in the left kidney (called hypernephroma, or renal cell carcinoma). It is located on the lower right side of the picture.
Review Date 3/31/2024
Updated by: Todd Gersten, MD, Hematology/Oncology, Florida Cancer Specialists & Research Institute, Wellington, FL. Review provided by VeriMed Healthcare Network. Also reviewed by David C. Dugdale, MD, Medical Director, Brenda Conaway, Editorial Director, and the A.D.A.M. Editorial team.