
Overview
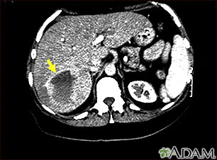
This upper abdominal CT scan shows a blood vessel tumor (hemangioma) in the liver.
Review Date 5/2/2023
Updated by: Michael M. Phillips, MD, Emeritus Professor of Medicine, The George Washington University School of Medicine, Washington, DC. Also reviewed by David C. Dugdale, MD, Medical Director, Brenda Conaway, Editorial Director, and the A.D.A.M. Editorial team.