
Overview
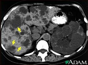
This abdominal CT scan shows cysts in the liver and kidneys (polycystic disease). The liver is the large organ on the left side of the screen. The dark spots in the liver are cysts.
Review Date 8/28/2023
Updated by: Walead Latif, MD, Nephrologist and Clinical Associate Professor, Rutgers Medical School, Newark, NJ. Review provided by VeriMed Healthcare Network. Also reviewed by David C. Dugdale, MD, Medical Director, Brenda Conaway, Editorial Director, and the A.D.A.M. Editorial team.